目の下のたるみ治療
年齢とともに気になる目の下のたるみ。女性だけでなく男性にも悩む方が多いようです。目の下のたるみをそのままにしておくと実年齢より老けて見られてしまいます。
目元は第一印象を決める大事なポイントです。目の下のたるみは、加齢による眼輪筋の衰えや睡眠不足によるクマ、目元のこすりすぎなどさまざまな原因があります。厚化粧でクマやくすみを隠そうとすると余計に目立ってしまいます。アイクリームなど目元の保湿だけでは改善しない目の下のたるみはティーズクリニックにご相談ください。
目の下のたるみ・ふくらみの治療方法は大きく二つに分類できます。
切らない治療で一時的な方法と根本的に治療する方法です。
①一時的に治療する対処療法
軽症への治療法~手術までは考えないで良い場合は、対処療法となります。
ヒアルロン酸やPRPF(多血小板血漿治療)を用いた、充填療法で治療することが可能です。
メリットとしては注入術ですから簡単に行うことができますが、デメリットとしては一時的な治療のため元に戻ってしまいます。
②根本的に治療する根本療法
根本的に治療するためには手術となります。
手術をすると、半永久的な結果を得ることができます。手術には下眼瞼弛み除去術(ハムラ法)や下眼瞼除脂術(脱脂術)があります。
下眼瞼除脂術(脱脂術)は、下まぶたの裏の結膜から脂肪を取り出すため皮膚を傷つけません。術後の腫れが比較的少ない手術です。
下眼瞼弛み除去術(ハムラ法)は目の下の膨らみが大きい場合におすすめしています。脂肪を取っただけでは、脂肪で伸びてしまった皮膚がシワになります。シワにならないように余った皮膚を引き上げ若々しい目元にします。
デメリットとしては内出血や腫れなどのダウンタイムがあります。
こんな方におすすめ
- 目の下のたるみが気になる方
- 目の下のふくらみが気になる方
- 目の下の凸凹をなくしたい方
- 目の下にたるみとしわがある方
- 実年齢より老けて見られる方
- 美容外科できれいに仕上げたい方
目の下のたるみの原因
- 1.年齢に伴って眼球が徐々に下がることで、下まぶたにある眼窩脂肪(がんかしぼう)押し下げます。そのことで長い時間に眼窩隔膜(がんかかくまく)を圧迫します。
- 2.眼球を下から支えているLockwood靭帯(ロックウッド靭帯)が弱ると、眼球をしっかり支えられなくなります。その結果、圧迫されてしまう眼窩脂肪(がんかしぼう)は前に出てきて目の下がたるんで見えます。
さらに、頬の脂肪も加齢で下がってしまうため、下まぶたの印象を老けた印象へと加速させてしまうようです。
このようにして眼窩脂肪の突出が下眼瞼のふくらみを作り出します。
目元のふくらみの下に影ができると黒いクマができたように見えるため「黒クマ」、ふくらみの中の血管が透けて見える状態が「青クマ」や「赤クマ」とよばれます。
下眼瞼弛み除去術(ハムラ法)
下まぶたのふくらみは、脂肪に引き伸ばされて目元の皮膚が伸びているので、突出して来た脂肪量が多い場合には、下眼瞼除脂術眼(通称:脱脂術)だけによる脂肪の切除だけでは改善できない場合があります。ふくらみの原因である脂肪を単純に減らすと、ふくらんだ風船の空気を抜いたように、目の下にしわ が残ってしまうためです。
突出している眼窩脂肪と伸展している皮膚の両方を解消するのが、下眼瞼の弛み除去術(ハムラ法)です。
下まぶたの膨らみの原因である眼窩脂肪(脂肪体)は、鼻側(目頭側)・正中(中央)・耳側(目尻側)と3つの脂肪体に分かれているので、 どの脂肪体をどの程度調整するのか、クマの状態などを診て判断する必要があります。脂肪を取りすぎると凹んでしまったりするため熟練した技術が必要となります。
下眼瞼除脂術(脱脂術)
まぶたの下に脂肪の膨らみがあっても、皮膚のふくらみ具合が比較的少ない場合は、下眼瞼除脂術眼(通称:脱脂術)だけによる脂肪の切除だけで改善できます。
下まぶたの膨らみの原因である眼窩脂肪(脂肪体)は、鼻側(目頭側)・正中(中央)・耳側(目尻側)と3脂肪体に分かれているので、 どの脂肪体をどの程度切除するのか、クマの状態などを診て判断します。単純に脂肪を切除するとへこんでしまったり、段ができてしまうため繊細な技術が必要となります。
下まぶたの結膜側(まぶたの裏側)から脂肪を取り除く施術なので、お顔の表面に傷が残ることはありません。
手術概要
- 手術時間60分 ※局所麻酔を使用するため術中の痛みは殆どありません。
- ダウンタイム:腫れは1週間程度、内出血してしまった場合は気にならなくなるまで約2週間程度かかります。
- メイク:アイメイク以外は、術直後から可能です。アイメイクは、翌日から可能ですが、優しく扱って下さい。
- シャワー:当日から可能です。さっと浴びる程度にしましょう。
- 目元の洗顔:当日から可能ですが、優しく洗いましょう。
- 入浴:術後3日目から可能です。
- コンタクトの使用:術後7日目からで抜糸した後から可能です。
皮膚切除術(たるみ除去)
下まぶたのふくらみは少ないけれども、しわやたるみが多い場合は皮膚切除術が適応になる場合があります。
切開部位はハムラ法と同様であり、切除部位も同様です。ハムラ法の皮膚のみの手術方法と言えます。
症例紹介3
40代男性で年齢的には皮膚の張りもしっかりとあり、また、皮膚切除の量は少なくても良いようです。しかし、強い皮膚に守られていたため目立っていなかった袋状になった下眼瞼隔膜は強く、しっかりと頬の方向へと移動させる必要がありました。
外見上は中等症であっても、内部の加齢は進んでいたようです。



- 症例
- 40代男性の目の下の膨らみ取り
- 治療内容
- 下まぶた直下の皮膚を切開し、皮下組織を剥離、下眼瞼(下まぶた)隔膜をしっかりと露出させ、膜自体を頬の方向に移動します。最後に余った皮膚をトリミングて縫合します。
- リスク
- 腫れ・内出血・下眼瞼の外反。頬との境目にくぼみが生じた場合は、ヒアルロン酸注入、脂肪注入、PRP-F(多血小板血漿療法)によるaugumentation(膨らます作業・増幅作業)が必要な場合があります。
- 費用
- 495,000円
40代男性の目の下の膨らみ取りの経過

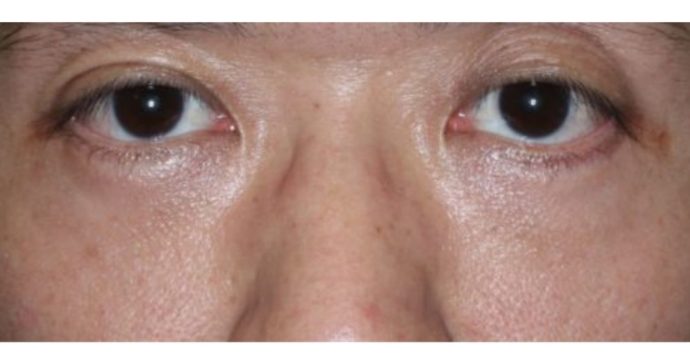
術前
年齢も40代前半で下まぶたの弛みが中等度でしたが、目袋(baggy eyelids)の印象があります。

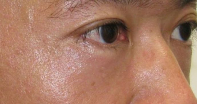
術前(左方向)
皮膚のハリはしっかりとありますが、目の下の膨らみがあります。

術後3ヶ月
術後3カ月ですが、傷跡は非常にきれいになっております。

術後3ヶ月右方向
目の下の袋も無くなりすっきりとしています。

術後3ヶ月
左方向です。

術後6か月
目の下の膨らみがなくなり、皮膚の切開線がほとんどわからなくなります。

術後6か月
右方向

術後6か月
左方向
男性の目の下の膨らみ取り
40代の男性です。ビジネスオーナーの方で、このところ営業の際に少し目の下の腫れが気になりだして、若々しい印象を得たいと思っていたようです。男性と言うこともあり化粧でごまかせないと仰って手術となりました。
治療の流れ
Step.01
術前診察
(ハムラ法)医師によるカウンセリングを行います。ご不安なことがありましたら、お気軽にご相談ください。
治療方針、治療方法、リスク、麻酔方法など、詳しく説明します。
術前に際しては、下まぶたの状態を詳細に把握していきます。実際の下まぶたの形態や皮膚状況を評価していきます。
写真撮影も行い、実際の状況を記録、詳細なデザインや術前術後比較等に利用していきます。Step.02
デザイン
術前診察で評価をした後、実際に切開する部位を説明し、どの部位まで手術が及ぶのかなどを解説していきます。
Step.03
手術
術前30分前から前投薬(少し眠気や不安がなくなるようなお薬を使用)を内服もしくは点滴をします。
その後、しっかりと麻酔を行います。麻酔の範囲はスープスプーン程度の範囲でゆっくりと行います。
忠実にデザインした切開線を切開し、展開します。術中は簡単な質問などを行いながら手術をしていきます。(手術時間:120分程度)
脱脂術(下眼瞼除脂術):60分程度
皮膚切除術(たるみ除去):60分程度Step.04
術後処置
腫れなどの状態に応じてリカバリー室での休憩後、ご帰宅いただけます。
ダウンタイム:腫れは1週間程度、内出血してしまった場合は気にならなくなるまで約2週間程度かかります。下まぶたは上まぶたに比べ、腫れは目立ちにくく早めに引いて行きます。大きくは1~2週間程度、腫れぼったい感じは1~2か月程度です。
メイク:アイメークは術後1週間ほどは控えてください。
シャワー:当日から可能です。さっと浴びる程度にしましょう。
目元の洗顔:術後翌日から可能ですが、優しく洗いましょう。
入浴:入浴は術後1週間から可能です。
コンタクトの使用:3日程度は控えてください。Step.05
術後経過
術後は、術後翌日の出血などを主に確認します。
1週間後に抜糸を行います。
1ヶ月後にも受診して頂きます。
2ヶ月後には、手術の状態を評価します。術前と術後の比較を行います。
半年後まで様子を見て、診察終了となります。
手術では補えなかったボリュームに対しては、手術約1年後位に、ヒアルロン酸注入、脂肪注入、PRPF注入療法など追加治療することをおすすめしています。
アフターケア
手術後
腫れなどの状態に応じてリカバリー室での休憩後、ご帰宅いただけます。
シャワー・入浴
当日から可能です。さっと浴びる程度にしましょう。
目元の洗顔:術後翌日から可能ですが、優しく洗いましょう。
入浴:入浴は術後1週間から可能です。メイク
アイメークは術後1週間ほどは控えてください。傷をキレイに仕上げるためです。
注意事項
- リスク
- 腫れ、赤み、痛み、内出血、浮腫み、感染、左右差など
- ダウンタイム
- 腫れは大きくは1~2週間程度、腫れぼったい感じは1~2か月程度です
- コンタクトの使用
- 3日程度は控えてください。傷をキレイに仕上げるためです。
- 術後の来院
- 翌日、1週間後、1ヶ月後、2ヶ月後
ドクターコメント
下まぶたの手術は、ふくらみやたるみの程度によって脂肪を取るだけではしわが残ることがあります。
ふくらみを取ると同時に余分な皮膚も切除するハムラ法の場合、目の下の脂肪をきれいに配置することにより頬が高くなった印象も期待できます。
ハムラ法は高度な手技が必要となりますので、手術料金のみで判断せずに実績で判断することが重要です。
ヒアルロン酸注入や脂肪注入は一時的な治療になりますので、根本的な治療は手術となります。
当院の行っているハムラ法に関する詳しい手技は、医学雑誌「PEPARS(ペパーズ)」の「2021年3月号/眼瞼の手術アトラス」の「眼窩隔膜を有効に利用する下眼瞼形成術」で執筆しております。
日本形成外科学会専門医
医療法人社団 聡明会 理事長
田牧 聡志
料金表(税込価格)
| ハムラ法 | ¥605,000 |
|---|---|
| 皮膚切除術(たるみ除去) | ¥330,000 |
| 下眼瞼脱脂 | ¥275,000 |
| その他 | ご相談ください |
- 術式など手術の内容によって料金が異なりますのでカウンセリング時にご相談ください。
現在TCTメンバー募集中(モニター割引)です。ご相談下さい。
よくある質問
- Q.目の下のふくらみをなくす手術をしたいのですが、目元に傷が残りませんか?
- A.根本的な治療としてふくらみを除去する方法では、下眼瞼除脂術(経結膜脱脂術)があります。下眼瞼除脂術とは、下瞼を裏返した部分(結膜)を切開し、そこから余分な眼窩脂肪を摘出する方法です。結膜という粘膜のため傷が治りやすく、表面から見えない部分なので傷跡の心配はほとんどありません。
- Q.下まぶたのたるみを取りたいのですが、手術後に顔つきが変わったり、引きつれたりしないのでしょうか。
- A.下まぶたのたるみ取り術は、皮膚のたるみの程度や眼窩脂肪の影響の有無などによって術式が異なります。どの施術も外科的治療であり、術後はたるみ・皮膚の余りがないすっきりとした目元になり顔が若々しく変化します。 ひきつれや外反と呼ばれる「あっかんべー」をしたような目元になるリスクも無いとは言えません。その様な二次的障害が生じないよう慎重に治療していきます。症状によってはその他の治療をお勧めすることもありますので、まずはカウンセリングにお越しになられてはいかがでしょうか。
- Q.表側から切る手術にかなり抵抗があります。結膜側からの下眼瞼脱脂術を考えていますが、ふくらみが目立つ目元の場合には難しいのでしょうか。
- A.下まぶたの結膜側からアプローチする経結膜脱脂術(下眼瞼脱脂術)は、目の下のふくらみ(眼窩脂肪が突出している部分)を取り除く手術ですので、皮膚のたるみやしわは取り除くことができません。 目の下のふくらみがなくなったぶん、しわがより気になるかもしれません。タイタンなどたるみ治療もとりいれることをおすすめします。 診察にお越しいただけましたら手術可能かどうか診断できますので、宜しければぜひご来院ください。
- Q.目の下に凹凸がありとても悩んでいます。ふくらみやくぼみを治療するにはハムラ法だということですが、ハムラ法は三白眼になるのでしょうか。もしなった場合、一生治らないでしょうか。若々しくてスッキリした目元に憧れて手術をしますので、そのようになってしまうことがあるようでしたら、躊躇してしまいます。
- A.下眼瞼(下まぶた)の膨らみは、疲れている様な印象や年齢を感じさせるような印象を与えてしまいます。 下眼瞼弛み除去術であるハムラ法は、いわゆる眼窩脂肪を除去するだけの治療ではありません。ふくらみの下にできた影や段差、加齢とともにボリュームが減ってきた頬をも同時に治療できる手術です。 下睫毛(まつ毛)の生え際から1~2mmを切開し、突出していた眼窩脂肪を本来あるべき位置に移動させ固定します。このようにして眼窩脂肪による突出を緩和させます。 また皮膚のたるみ(あまり)がある場合には、余分な皮膚を引き上げるように固定し、縫合します。この際に切除しすぎてしまうと外反と呼ばれる「あっかんベー」としたような下まぶたとなり、黒目の下に白目が出てしまういわゆる三白眼になってしまいます。しかし、これは術者が術中術後に、しっかりと確認作業を行うことで防げる問題ですのでご安心ください。









症例紹介1
50代女性の方です。以前から元々あった下まぶたの膨らみが、最近になってより悪化して来たために、当院で別の施術をされていた方から紹介での初診となりました。
この下まぶた(下眼瞼)のふくらみ、通称「目袋」ですが、老けた印象を与える上、ダースベイダー等の老いた悪役キャラなイメージが付きまとってしまうようです。
目の下のたるみ取りの経過
術前
術前です。下まぶたの弛みが強いです。しっかりと下眼瞼の隔膜にそってふくらみを認め、反応性に赤みもあるためか立体感を強調してます。
術後1週間・抜糸後
既に、形態として、結果をある程度満足できる状態になっています。
ハムラ法は、上まぶた(上眼瞼)の手術と違って腫れ等の(ダウンタイム)は、短いと言えると思います。 内出血も強くはなく、非常に良い術後経過と言えます。
術後2週間
腫れが引いたためか、全体的に小皺が多い印象ですが、改善を待つところです。
術後3ヶ月
かなり改善しておりますね。何より、目袋はほぼ無くなっております。
ダウンタイムも完全に収まっていて、形態も安定しおります。少し右が腫れが残っているようですが、内出血があったためかと推測されます。
症例紹介2
60代後半女性です。 近医の形成外科・皮膚科医院(形成外科専門医施設)より、当院をご紹介していただいた方です。下まぶたの弛みが気になってきて、すっきりできる方法はないかと受診となりました。
上を見たときに(上方視)、目袋は盛り上がりが強くなる症状を呈しておりました。下まぶたの弛みが強い方でした。肌自体の弛みも加わって、目の下の組織が突出した、いわゆる「目袋=baggy eyelids」の印象があります。
下まぶたのたるみが強い症例の経過
術前
年齢的にも皮膚の余剰が多いために、袋状になった下眼瞼隔膜を頬の方向へと移動させた後に、しっかりと皮膚の切除を行いつつ、下まぶたの皮膚を張った感じに仕上げる必要があります。
皮膚の弛緩(余剰皮膚)もしっかりと取るべきであるため皮膚切開が最適と判断しました。
術後1ヶ月
術後1カ月です。下まぶた直下の皮膚切開線が少し目立ちます。術後1カ月ですと、最も傷が収縮していて、赤く目立つことから気になる方もいらっしゃいますが、安心してください。必ず良くなっていきます。
術後2ヶ月
すっかりと腫れも引いてきていて、下まぶたにフラットな感じが出ています。傷である創部もきれいになりつつあります。
術後6ヶ月
術後6カ月ですが、傷跡も非常にきれいに治っております。形もすっきりとして非常に整ってます。
目の下の膨らみ取り
目の下の膨らみで悩まれている方は多いのですが、加齢のためと諦めている方が多いようです。
2021年には医師が手本とするアトラスに「眼窩隔膜を有効に利用する下眼瞼形成術」を執筆しハムラ法について解説しております。