å埩æé 广ãš
æç¶æ§ äžå¯§ãª
ã«ãŠã³ã»ãªã³ã° æè¡ãªã¹ã¯
ãšåäœµç æ³šæäºé æ²»çã®æµã ã¢ãã¿ãŒã±ã¢ çäŸçŽ¹ä» æ£è æ§ã®å£° ããããè³ªå æé衚 ãã¯ã¿ãŒ
ã³ã¡ã³ã ã³ã©ã
äºéåéæ³ãšã¯ïœç®èãåéããŠäºéãŸã¶ãã圢æããæè¡æ¹æ³
äºéåéæ³ã¯ãæ£è æ§ã®åžæã«æ²¿ã£ãäºéãŸã¶ãã圢æããæè¡ã§ããäºåã«ãã¶ã€ã³ããäºéã®ã©ã€ã³ã«æ²¿ã£ãŠç®èãåéããå éšã®æ§é ãæŽããããšã§çæ³çãªäºéãäœãäžããŸãããã®æ¹æ³ã¯ãèªç¶ãªä»äžãããæ±ããæ¹ããäžåºŠã§ç¢ºå®ã«äºéã«ãããæ¹ã«é©ããŠããŸãããŸãç¹ã«åã¿ã®ããäžéãŸã¶ãããäºéæŽåœ¢ã®å没æ³ã§å ã«æ»ã£ãŠããŸã£ããŸã¶ãã«å¯ŸããŠæå¹ãªæè¡æ¹æ³ã§ãã
äºéåéæ³ã®ç¹åŸŽïœç¢ºå®ãªäºéã®ã©ã€ã³ã®åœ¢æãšé·æçãªæç¶æ§
ãã£ãŒãºã¯ãªããã¯ã§ã¯ãçŒçª©éèå転çŒèŒªçåºå®æ³ãã«ããåéãæ¡çšããŠããŸãããã®æ¹æ³ã§ã¯ã倩ç¶ã®ãŸã¶ããšåãæ§é ã«ãããããå·è·¡ãæ®ãã«ããããããªäºéãŸã¶ãã«ãªããŸãããŸããæè¡æéã¯çŽ2æéã§ãå šèº«éº»é ã§ã¯ãªãå±æéº»é ã§è¡ããããè¡åŸããã«åž°å® ããããšãå¯èœã§ãã
äºéåéæ³ã®é©å¿çäŸïœå没æ³ã§ã¯æ¹åãé£ããã±ãŒã¹
äºéåéæ³ã¯ã以äžã®ãããªæ¹ã«ç¹ã«åããŠããŸãã
èªåã®ã€ã¡ãŒãžã«è¿ãäºéãåžæããæ¹
åéæ³ã¯ããåžæã«è¿ãã€ã¡ãŒãžã®äºéãäœãããšãã§ããŸããäžéãŸãã¯å¥¥äºéã§ãã¯ã£ãããšããäºéã®ã©ã€ã³ãåžæããæ¹
åéæ³ã¯ãäžéãŸãã¯å¥¥äºéã®æ¹ã§ããããæç¢ºãªã¯ã£ãããšããäºéãäœãããšãã§ããŸããåæ²¡æ³ãè€æ°ååãããã®ã®ãåããŠããŸã£ãæ¹
åœé¢ã®åéæ³ã§ã¯ãäœåãªç®èãèèªãåãé€ããããäœåãåæ²¡ãè¡ã£ãŠããŠåããŠããŸã£ããŸã¶ãã®ç®èãåãããŸãã¯è «ããŒã£ããç®å ã®æ¹ã§ãããã£ãããšããäºéã«ãªãããšãã§ããŸãã幎霢ãšãšãã«ãŸã¶ãã®ããã¿ãæ°ã«ãªãæ¹
åœé¢ã®åéæ³ã¯ããŸã¶ãã®ããã¿ãæ¹åããããšãã§ããŸãã幎霢ãšãšãã«ãŸã¶ãã®ããã¿ãæ°ã«ãªãæ¹ã«é©ããŠããŸããïŒå鿳以å€ã«ãæè¡ãæœè¡ãå¿ èŠãªå ŽåããããŸãïŒ
äºéåéæ³ã®æè¡æ¹æ³ïœç®èã®åéãäœå°èèªã®é€å»ãçž«å
äºéåéæ³ã¯ãç®èãåéããŠå
éšã倿ŽããŠäºéã«ãªããããªæ§é ã«äœãå€ãããå
šåéåã®äºéæŽåœ¢è¡ã§ãã
éããŸã¶ãã®æ¹ãç®èã®ããã¿ãåŒ·ãæ¹ã«ããããã§ãã
ç®èã®åéïœç®ã®åœ¢ã«åãããŠé©åãªåéã©ã€ã³ãèšå®
æè¡ã§ã¯ããŸãå±æéº»é
ãè¡ãããã®åŸãåžæã®äºéã®ã©ã€ã³ãããã¶ã€ã³ããç®èåéããã³ç®èåé€ãè¡ããŸãã
åœé¢ã§ã¯ã15cãšããç¹æ®ãªã¡ã¹ïŒåéåïŒã䜿ã£ãŠãæ£ç¢ºã«åéãè¡ããŸãã
äœå°èèªã®é€å»ïœå¿ èŠã«å¿ããŠèèªãåãé€ããç®ã®éããæ¹å
å¿ èŠã«å¿ããŠäœåãªèèªãåé€ããç®ã®éããæ¹åããŸããããã«ããããã£ãããšããäºéã圢æããããšãã§ããŸãã
å éšæ§é ãä¿®æ£ïœéèãå転ããŠåååãšããŠå©çš
ãŸã¶ããéããæã«åæã«äºéã®ã©ã€ã³ã«åãåãæ§ã«ãçŒçŒéèãå転ããããã«æ§é ãäœãå€ãäºéãŸã¶ãã圢æããŸãã
çž«åïœç®èãçž«åããçæ³çãªäºéã®ã©ã€ã³ã圢æ
7-0 nylonãšããéåžžã«çްã糞ãçšããŠç®èã现ããçž«åããŸãã®ã§ãè¡åŸãŸã¶ãã®å·è·¡ã¯ãããã«ãããªããŸãã
äºéåéæ³ã®è¡åŸçµéãšå埩æéïœè «ããšå åºè¡ã®è»œæžãéèŠ
è¡åŸã®è «ããšå åºè¡ïœå®éã就坿ã®äœå¢ã§å䜵çã軜æž
è¡åŸã¯ãè
«ãã®ç¶æ
ã«å¿ããŠãªã«ããªãŒå®€ã§äŒæ©åŸããåž°å®
ããã ããŸããããã¿ãè
«ãã®ããŒã¯ã¯ãè¡åŸ3æ¥ç®ã«çŸããããšãå€ãã§ãã
å®éãã¯ãããå°±å¯æã«æãå°ãé«ãããããšã§ãè
«ããšå
åºè¡ã軜æžãããããšãéèŠã§ãã
æç³žãšå埩æéïœçŽ1é±éã§æç³žã2ïœ3é±éã§æ¥åžžç掻ã«åŸ©åž°
çŽ1é±éåŸã«æç³žãè¡ããŸããåéç·åšèŸºã®ããã¿ã¯ãã°ããç¶ããŸããã1ã¶æïœ3ã¶æçšåºŠã§èªç¶ã«èœã¡çããŸããïŒå人差ããããŸãïŒã
éåžž2ïœ3é±éã»ã©ã§æ¥åžžç掻ã«åŸ©åž°ããããšãã§ããŸãã
äºéåéæ³ã®å¹æãšæç¶æ§ïœçæ³çã§ããåæ°žä¹ çãªäºéãŸã¶ããå®çŸ
èªç¶ã§çŸããäºéãŸã¶ãã®åœ¢æïœåœé¢ç¬èªã®æ¹æ³ã§çæ³ã®äºéãŸã¶ããå®çŸ
ãåžæã«åã£ãæ§ã ãªäºéã®åœ¢ç¶ã«å¯Ÿå¿ããããšãã§ããŸããåœé¢ã®æè¡æ¹æ³ã§ã¯ãèªç¶ã§çŸããäºéãŸã¶ãã圢æããçæ³çãªç®ã®å°è±¡ã«è¿ã¥ããããšãå¯èœã§ãã
é·æçãªæç¶æ§ïœåæ°žä¹ çãªå¹æãæåŸ
äºéåéæ³ã®æå€§ã®å©ç¹ã¯ããã®é«ãæç¶æ§ã§ããäžåºŠã®æè¡ã§çæ³ã®äºéãŸã¶ããæã«å
¥ããããšãã§ããŸãã
ãã ããå 霢ã«ãããŸã¶ãã®ããã¿ã«ãã£ãŠãäºéã®ã©ã€ã³ãå€åããå¯èœæ§ããããŸãããã®å Žåã宿çãªã¡ã³ããã³ã¹ãå¿
èŠã«ãªãããšããããŸãã
åœé¢ã®äºéåéæ³ã®ç¹åŸŽïœçç·Žã®æè¡ãšäžå¯§ãªã«ãŠã³ã»ãªã³ã°
èªç¶ãªäºéãŸã¶ãã®è¿œæ±ïœæ£è ããã«ãµããããèªç¶ã§éåæã®ãªãäºéãŸã¶ããæäŸ
çµéšè±å¯ãªå»åž«ã«ããæœè¡ïœå®å šæ§ãšç¢ºå®æ§ã远æ±
åœé¢ã§ã¯ãäºéåéæ³ã®æœè¡çµéšãè±å¯ãªå»åž«ãåšç±ããŠããŸããè±å¯ãªç¥èãšçç·Žã®æè¡ãæã€å»åž«ããæ£è
æ§äžäººã²ãšãã«åãããæé©ãªæœè¡ãã©ã³ããææ¡ããå®å
šæ§ãšç¢ºå®æ§ã远æ±ããæè¡ãè¡ããŸãã
åœé¢ã®å»åž«ã¯ãæ¥æ¬åœ¢æå€ç§åŠäŒå°éå»ã®è³æ Œãæã¡ãçŸå®¹å€ç§é åã§ã®è±å¯ãªçµéšããããŸãã
æ£è æ§ã®ãèŠæã«å¿ãããªãŒããŒã¡ã€ãæ²»ç
åœé¢ã§ã¯ãæ£è
æ§ã®ãèŠæãç®å
ã®ç¹åŸŽã詳现ã«åæãããªãŒããŒã¡ã€ãã®æ²»çãã©ã³ãäœæããŸãã
çæ³ãšããäºéã®åœ¢ãå¹
ãç®ã®éãã®çšåºŠãªã©ãèæ
®ããæ£è
æ§ã«ãšã£ãŠæãé©ããæœè¡ãè¡ããŸãã
ã«ãŠã³ã»ãªã³ã°ã§ã¯ãæ£è
æ§ã®ãèŠæããã£ãããšã䌺ããããªã¢ã«ãªã·ãã¥ã¬ãŒã·ã§ã³ãè¡ããªãããçæ³ã®äºéãŸã¶ãããã¶ã€ã³ããŸãã
ã¢ãã¿ãŒã±ã¢ã®å å®ïœè¡åŸã®å埩ããã£ãããµããŒã
äºéåéæ³ã®è¡åŸã¯ãè
«ããå
åºè¡ãªã©ã®çç¶ãçŸããããšããããŸããåœé¢ã§ã¯ãè¡åŸã®å®æçãªèšºå¯ãé©åãªåŠçœ®ãè¡ããæ£è
æ§ã®å埩ããã£ãããšãµããŒãããŸããäžå®ãçåãããå Žåã¯ããã€ã§ããçžè«ãã ããã
ãŸããè¡åŸã®ã±ã¢ã«ã€ããŠãäžå¯§ã«ã説æããæ£è
æ§ã«å®å¿ããŠå埩æéãéãããŠããã ããããåªããŠããŸãã
äºéåéæ³ã®æè¡ãªã¹ã¯ãšå䜵çïœååãªèª¬æãšçè§£ãå¿ èŠ
æè¡ãªã¹ã¯ã«ã€ããŠïœææãç¢ç圢æãªã©ã®ãªã¹ã¯ãžã®çè§£
äºéåéæ³ã¯å€ç§çãªæè¡ã§ãããããææãç¢ç圢æãªã©ã®ãªã¹ã¯ã䌎ããŸãã
ãããã®ãªã¹ã¯ãæå°éã«æãããããåœé¢ã§ã¯è¡ç管çã培åºããçç·Žã®å»åž«ã«ããäžå¯§ãªæœè¡ãè¡ããŸãã
ãããããªã¹ã¯ããŒãã«ããããšã¯äžå¯èœã§ãããããæ£è
æ§ã«ã¯ãªã¹ã¯ã«ã€ããŠååã«ãçè§£ããã ãå¿
èŠããããŸãã
æè¡åã®ã«ãŠã³ã»ãªã³ã°ã§ã¯ããªã¹ã¯ã«ã€ããŠè©³ããã説æããæ£è
æ§ã®ãçè§£ãšãåæãåŸãäžã§æœè¡ãè¡ããŸãã
å䜵çã®å¯èœæ§ïœéåæãå·Šå³å·®ãªã©ã®å¯èœæ§ã«ã€ããŠèª¬æ
äºéåéæ³ã®è¡åŸã«ã¯ãéåæãå·Šå³å·®ãªã©ã®å䜵çãçããå¯èœæ§ããããŸãããããã®å䜵çã¯ãæè¡ææãè¡åŸã®çµéã«ãã£ãŠç°ãªããŸãã
åœé¢ã§ã¯ãæè¡åã«å䜵çã®å¯èœæ§ã«ã€ããŠè©³ãã説æããæ£è
æ§ã«ãçè§£ããã ããäžã§æœè¡ãè¡ããŸãã
äžãäžãå䜵çãçããå Žåã¯ãé©åãªåŠçœ®ãè¡ããæ£è
æ§ã®æºè¶³åºŠã®é«ãçµæãç®æããŸãã
è¡åŸã®å®æçãªèšºå¯ã§ãå䜵çã®æç¡ã確èªããå¿
èŠã«å¿ããŠè¿œå ã®åŠçœ®ãè¡ããŸãã
泚æäºé
è¡åŸ1ã2é±éã¯è «ããããšããããŸãã倧ãã1ïœ2é±éãè «ããŒã£ããã¯1ïœ2ãµæçšåºŠæãããŸããããã¯æè¡ã«ããäžæçãªãã®ã§ãããæéãšãšãã«èªç¶ã«åŒããŠãããŸããè¡åŸã®çµéããã£ãããšèŠå®ãããšã倧åã§ãã
è¡åŸã¯ãæç³žãŸã§ã¯æ¿ããéåãéããã®ãæã€ããšãã¢ã«ã³ãŒã«ã®æåããªã©ã¯é¿ããŠãã ãããããããªãããæ¥åžžçæŽ»ã§æŽé¡ãå ¥æµŽãªã©ã«ã¯å¶éã¯ãããŸããã
- ããŠã³ã¿ã€ã
- 倧ããªè
«ãã¯2é±éçšåºŠ
â»ããŠã³ã¿ã€ã ã¯ãå人差ã¯ãããŸãããäžè¬çã«2é±éçšåºŠã§å€§ããªè «ããåŒããŸããå®å šã«èªç¶ãªç¶æ ã«ãªããŸã§ã«ã¯1ïœ3ã¶æãããããšããããŸãã
- å åºè¡
- ãŸã¶ãã赀玫è²ã«ãªãå ŽåããããŸãã倧æµã®å Žåã¯ã¡ã€ã¯ã§é ããçšåºŠã§æžã¿ãæéçµéã§å¿ ãæ¶å€±ããŸãã®ã§ãå®å¿ãã ããã
- ãªã¹ã¯
- äºéã®ã©ã€ã³ã®äžæŽãæ¶å€±ãå·Šå³å·®ããŸãããŸãã«ãŸã€æ¯åãã®äžæŽãªã©å¯èœæ§ããããŸãããããã®ãªã¹ã¯ã¯ãç¡çãªãã¶ã€ã³ãç®èã®æ§è³ªãªã©ãã匷ãåºãŠããŸãããšããããŸãã
- ç®å ã®æŽé¡
- è¡åŸåœæ¥ããå¯èœã§ãããåªããæŽããŸãããã
- ã³ã³ã¿ã¯ã䜿çš
- åå1ãæã¯æ§ããŠãã ãããããããäžãŸã¶ããè§Šããªãã§è£ çã§ãããªãã°è¡åŸ2é±éããå¯èœã§ãã
- è¡åŸã®æ¥é¢
- 1é±éåŸã2é±éåŸã1ã¶æåŸã2ã¶æåŸã3ã¶æåŸ
- æç³ž
- 1é±éåŸ
æ²»çã®æµã
Step.01
蚺å¯
å»åž«ã«ããã«ãŠã³ã»ãªã³ã°ãè¡ããŸãããäžå®ãªããšããããŸãããããæ°è»œã«ãçžè«ãã ããã
æ²»çæ¹éãæ²»çæ¹æ³ããªã¹ã¯ãéº»é æ¹æ³ãªã©ã詳ãã説æããŸãã
è¡å蚺å¯ãšããŠã¯ãäžãŸã¶ãïŒçŒçŒïŒã®æ§ç¶ã§ã¯åãã§ããããèèªé€å»ãå¿ èŠãšããããçæ¯ã®äžããå ·åã§ãã®å¹ ã«åœ±é¿ãããããå·Šå³å·®ã®ããçŒçŒäžåãå åšããŠããªããããªã©ã確èªããŠãããŸããåžæã®äºéã®ã©ã€ã³ããäºæ³ããã圢ç¶ãäºéå°çšåšå ·ãçšãããã¶ã€ã³ã«ç§»ããŸããæ«åºåãªã®ããå¹³è¡åãªã®ããã確èªããäžã§ãäºéã®ã©ã€ã³ã決ããéã¯æ éã«è¡ã£ãŠãããŸãã
æ¡è¡æ€æ»ãè¡ã£ãŠãæè¡ã®äºå®ãçµãã§è¡ããŸããStep.02
ãã¶ã€ã³
åžæããäºéã®ã©ã€ã³ãäžå¿ã«ãæ°ããªå¹ ïŒ2-3mmïŒãåé€ããããã«èšå®ããŠãæ£ç¢ºã«ãã¶ã€ã³ãè¡ã£ãŠãããŸãããã¶ã€ã³ã¯ãæè¡ã®åãçŽ30-40åãããŠæ éã«è¡ããŸãã
â» åœé¢ã§ã¯ãåèšºåœæ¥ã®æè¡ã¯è¡ã£ãŠãããŸããã
Step.03
æè¡
æè¡æéã¯120åçšåºŠã§ãã
ãã¶ã€ã³ããã©ã€ã³éãã«å¿ å®ã«åéããæçè ±èã®å 端ã確å®ã«åå®ã確ä¿ããŸããåœé¢ã®æ¹æ³ã§ã¯ãæçè ±è端ãç®èã«åºå®ããã®ã§ã¯ãªãããã®çŽäžã®çŒèŒªçã«çž«åããããšã§ãå®éã®çãŸããªããã®ãŸã¶ãã®è§£åã«ãè¿ã¥ããããã«è¡ã£ãŠãããŸããïŒå€©ç¶ã®äºéãŸã¶ãã¯åŠã«ãã£ããã§ã¯ãªãåªããæãã§ããïŒãã€ã³ãïŒ
åœé¢ã®æ¹æ³ã§ã¯ãèªç¶ãªãŸã¶ããåçŸã§ããæ°å°ãªãæ¹æ³ã®äžã€ã§ãïŒ
å転ããæçè ±èïŒçŒçª©éèïŒã®å 端ãäžçŒçŒïŒäžãŸã¶ãïŒç®èã«çŽæ¥çž«çããã®ã§ã¯ãªãããã®çŽäžã®çŒèŒªçã«ç¢ºå®ã«çž«åããŸãããã®ãããçŒçª©éèå転çŒèŒªçåºå®æ³ããšãèšããã®ã§ããStep.04
è¡åŸåŠçœ®
è «ããªã©ã®ç¶æ ã«å¿ããŠãªã«ããªãŒå®€ã§ã®äŒæ©åŸããåž°å® ããã ããŸãã
çŽ1é±éåŸã®æç³žãŸã§ã¯çž«å糞ããŸã¶ãã«ã€ããŠããŸããè¡åŸ3æ¥ç®ã«ããã¿ãè «ãã®ããŒã¯ãçŸããŸãã
åéç·ãããŸã€æ¯ãŸã§ã®ããã¿ã¯ãã°ããç¶ããããåéç·åšèŸºã®ããã¿ã«ãããæåã¯å¹ ãåºãèŠããããšããããŸããã1ã¶æã3ã¶æçšåºŠïŒå人差ããããŸãïŒã§èœã¡çããŠããŸãã
ã¢ãã¿ãŒã±ã¢
è¡åŸ
è «ããªã©ã®ç¶æ ã«å¿ããŠãªã«ããªãŒå®€ã§ã®äŒæ©åŸããåž°å® ããã ããŸãã
ã·ã£ã¯ãŒã»å ¥æµŽ
åœæ¥ããå¯èœã§ãããã£ãšæµŽã³ãçšåºŠã«ããŸãããã
ã¡ã€ã¯
ã¢ã€ã¡ã€ã¯ã¯2é±éã»ã©ã¯æ§ããŠãã ããã
çäŸç޹ä»
äºéåéæ³ãåããŠã®20代女æ§ã®æ£è æ§ã§ããå šåéã®æŽåœ¢ãåžæãããŸããã



- çäŸ
- 奥äºéããæ«åºåã®äºéæŽåœ¢åéæ³
- æ²»çå 容
- åžæã®äºéã®ã©ã€ã³ãããã¶ã€ã³ãç®èãåéããå¿ èŠã«å¿ããŠäœåãªç®èãèèªãåé€ãçµç¹ãçž«åãäºéãäœæããŸãã
- ãªã¹ã¯
- å åºè¡ã»è «ãã»ãŸãã«äºéã®ã©ã€ã³ãæµ ããªãããšããããŸãã
- è²»çš
- 517,000å
奥äºéããæ«åºåã®äºéåéã®çµé

è¡å
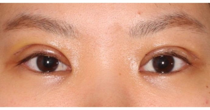
äžãŸã¶ãã®ç®èãç«æ¯è¿ããŸã§èŠããã¶ãã£ãŠããŠã奥äºéãšãªã£ãŠããŸããèŠããã®äºéå¹ ãã»ãšãã©ãªããã·ã³ãã«ãšããç®ã®å°è±¡ãšãªã£ãŠããŸããéçŒå¹ ã¯4-5mmçšåºŠã§ãããçæ³ã®äºéå¹ ã¯ãéçŒæïŒãŸã¶ããéããç¶æ ïŒã®å šäœå¹ ã®20%çšåºŠãè¯ããšãããŠããŸãããã8-9mmçšåºŠã®éçŒå¹ ãç®æããŠæè¡ãèšç»ããŸãããè¡åã®éçŒæã®åçã§ããéçŒå¹ ã4-5mmã§ããããšãè§£ããŸããã

æè¡ç¿æ¥
æè¡äžã«ã¯æ¢è¡äœæ¥ã¯ããªãå ¥å¿µã«è¡ã£ãŠããŸããè¥å¹²ã®å åºè¡ãèªããããŸããããã§ãå åºè¡ã¯å°ãªãæ¹ã ãšæããŸãã

æè¡ç¿æ¥ãéçŒ
ã¯ã£ãããšåéç·ã¯ããããŸãããäºéã®åééšäœãããŒã¿ïŒè°·ïŒã圢æããªãã§ãæ²é¢ãæãäžžã¿ã垯ã³ãŠãããšããããŸãã

è¡åŸ1é±éãæç³žåŸ
æç³žãè¡ããŸãããæç³žãããããšã§ããªããã£ããããå°è±¡ãäžããŸãã

è¡åŸ1é±éãæç³žåŸãéçŒ
æç³žãè¡ããšãããåãããŸããããã§ã«ããªãèªç¶ãªä»äžããã«ãªã£ãŠããŸããäºéã®åééšäœããŸãããæ²é¢ããªã ããã§ãããä»åŸã®çµéã¯è¯ããããªæãã§ãã

è¡åŸ2é±é
ç®ã®éãå ·åãåŠäœã§ããããïŒç®ã®è «ãå ·åãåŠäœã§ããããïŒããªããã£ããããŠããŸãããã

è¡åŸ2é±éãäžæ¹èŠ
éçŒæã§ã¯ãåœããåãªã®ã§ããããŸã åéç·ã®å·è·¡ã¯æ®ã£ãŠããŸãããããç¬ãçšåºŠã§ã¯æ°ãä»ãããªããšæããŸãã

è¡åŸ1ã¶æ
è¡åŸ2é±ãšæ¯ã¹ããšãè «ããå°ããã€åŒããŠããããšãè§£ããŸãã

è¡åŸ1ã¶æãéçŒ
éçŒæããã¯ãããŸã åéç·ã¯æ®ã£ãŠããŸããä»åŸ2ã«æäœã¯æ¥æ¿ãªå€åã¯ãªãçµéããŠãããŸãã

è¡åŸ3ã¶æ
è¡åŸ1ãæãšæ¯èŒãããšçŒã®éããè¯ãã§ãããè «ãã¯ã»ãšãã©åŒããŠããããšãè§£ããŸãããæ¬äººæ°ããåäººã«æ°ãä»ãããªãã£ããããã§ãïŒããšéåæã¯ãªãããšããã£ããã£ãŠãŸããã

è¡åŸ3ã¶æãéçŒ
éçŒæãè¡åŸ1ãææ¯èŒãããšå ã®åå°ãèŠãŠã窪ã¿ãå°ãªããªã£ãŠããã®ãããããŸãããåéç·ã¯ããèªç¶ã«ãªã£ãŠããŸãã

è¡åŸ7ã¶æ
å®æåœ¢ã§ãã

è¡åŸ7ã¶æ
ç®ãéããŠãäºéæŽåœ¢ãšå šãæ°ãã€ããªãã®ã§ã¯ãªãã§ããããã
äºéåéæ³ã®æ£è æ§ã®å£°
å€ãã®æ£è æ§ãããé«è©äŸ¡ã®ã¬ãã¥ãŒãããã ããŠããããšãèªãã«æããŸãã
ç°ç§å çã¯ç®å ãšé¡ã®ãã©ã³ã¹ãããèŠãŠãç§ã«åãäºéã®å¹ ãšåœ¢ãçå£ã«èããŠãã ããããã¡ããç®é åéãããããšèšã£ãæã«ã¯ãç®é åéã¯ããªãæ¹ããããã坿ããªãããã®æè¡ã ããããšé«é¡ãªæè¡ã«ãé¢ãããããã£ãããšæ¢ããŠãã ãããŸããã
ãŸãããã¡ããç·åŒµããªãããã«ç°ç§å çãçè·åž«ãããåžžã«æããåªããç¬é¡ã§æ¥ããŠäžãããŸããã
æè¡ã®æäžãæè¡çŽåŸãããªã©ãã¯ã¹ã§ããããã«ç°ç§å çãçè·åž«ã®çæ§ãè²ã ãªã話ãããŠãã ãããçµå§æ¥œããéãããããšãèŠããŠãããŸãã
ãŸããè¡åŸã®çµé芳å¯ãã¢ãã¿ãŒã±ã¢ããšãŠãè¯ãããŠé ããå®å¿ããŠããŠã³ã¿ã€ã ãéããããšãã§ããŸããã
ïŒçµé芳å¯ã®éã®ãç°ç§å çãçè·åž«ãããšã®äŒè©±ãæ¯å楜ãã¿ã§ããâ«ïŒ
ãããŠäœããåéåŸã®äºéã®å®æåºŠãããªãé«ããäžå¹Žçµã¡è «ããå®å šã«åãŸãã綺éºãªäºéã«ãªããŸããã
䞡芪ãå人ããã¯ãäºéã«ããŠããã£ããããæŽåœ¢ãããšã¯æããªãã»ã©ç¶ºéºãªäºéã ãããšèšãããŸãããã¡ããç§ãããæã£ãŠãããŸããå°ããé ããæ©ãã§ããäžéããããã£ãšæ§ãã ã£ãã±ã£ã¡ãäºéã«ãªãããšãã§ããŸãããç°ç§å çã®ãããã§ãããã«æããæ¥œãã人çãéãããšãã§ããŠãããŸããä»ãŸã§ã§ããªãã£ãæ°ããã¡ã€ã¯ã楜ãããŠããŸãããã®æç« ãèããŠãããšããæ¶ãåºãŠããã»ã©ãæ¬åœã«å¿ããæè¬ããŠãããŸãã
ãŸãäœããã£ãéã¯ãç°ç§å çã«ãé¡ããããŠé ãããã§ã(*^^*)
ãã®æã¯ãããããé¡ãèŽããŸãã
é·ããªã£ãŠããŸããŸãããã
ãã®åºŠã¯èª ã«ããããšãããããŸããïŒïŒ”
æåã®èšºå¯æã«ã説æããã ããçäžãªããããã¹ããã©ã³ã§ããããçŽè¿ã§äººã«äŒãçšäºãç®çœæŒãã ã£ãããšãããDTãçãåæ²¡ãéžã³ãŸããã
çµéšã®ããç¥äººããã¯ã1é±éçšåºŠãŸã¶ãã®é£ã蟌ã¿ãèŠæããããèšãããŠããŸããããã®ç¥äººã«è¡åŸ3æ¥ç®ã«äŒã£ãã®ã§ããããïŒå šç¶è «ãããªãïŒããšé©ãããŸããã
ååã®èšºå¯æã«çŒã®ç¶æ ããã£ãã確èªããŠããã ããæè¡åœæ¥ã座ã£ãç¶æ ãæšªã«ãªã£ãç¶æ ã§çްããäºéå¹ ã調æŽããŠããã ãå®å¿ããŠæè¡ã«èšãããšãã§ããŸããã
è¡åŸã¯ãçã¿æ¢ããå¡ãè¬ãç®è¬ãªã©äžåŒåŠæ¹ããŠããã ããšãŠãå®å¿æããããŸããïŒãªããã»ãŒçã¿ã¯ç¡ãçã¿æ¢ãã¯äžèŠã§ããïŒïŒã
è¡åŸ1é±éã1ãæåŸã3ãæåŸãŸã§èšºå¯ã§ã䌺ãããããšã«ãªããŸãããã®éœåºŠãè «ãã糞ã®ç¶æ³ã確èªããäžãäžãæœè¡ã®äžåãããã°åæè¡ãããŸããšã®ããšã§ãèªä¿¡ãããã°ããã ãªããšæããŸããã
çè·åž«ãããæž©ãã¿ã®ãã察å¿ãããŠãã ãããŸããçäžãªããã®ãçµéšããããã®æ¹ããèªèº«ã®ããã©ã¢ãåçãèŠããŠãã ããçã®å£°ãèŽããããšã¯ãšãŠã貎éã§ããïŒ
åä»ãäºçŽã«é¢ããŠãäžå¯§ãã€ã¹ããŒãã§æ°æã¡ã®ãã察å¿ã§ãã
ãããŸã§è¡ã£ãããšã®ãã倧æã¯ãªããã¯ã¯ãåä»ã®æ¹ãšã®åçã®ã¿ã§ãããªãæœè¡ããšããå·åå»ããããšæè¡å®€ã«å ¥ã£ãŠããŠæœè¡ç®æã«ã®ã¿ã¢ãããŒãããŠå»ãã¿ãããªããšããŸãŸããããç§ã¯ãããéžãã ãã©ãå»åž«ã¯ç§ã«äœãããŠããæèããªãã ãããªããšããïŒåœããåã®ããšãïŒæãç¥ããããæèŠããããŸããã
ãã£ãŒãºã¯ãªããã¯ã§ã®æè¡çµéšã¯ããããã£ããã¬ãã£ããªå°è±¡ãããæå³ã§ãã£ããå¡ãæ¿ããŠãã ãããŸããã
ãªããã ãã¡ãããšéžã¹ãŠãªãã£ãã ãã ã£ããã ãªïŒ(ç¬)
ã玹ä»ãç¡ãã£ããå·¡ãåãããšããªãã£ãã®ã§ããçžã«æè¬ããŸãããã¡ãããçŽ æŽãããæè¡ãããŠãã ãã£ãç°ç§é¢é·ã«ãæè¬ãããã§ãã”
è ãè¯ãã®ããã¡ããã ãã©ããå人çã«ã¯é¢é·ãçŽã ã«ã«ãŠã³ã»ãªã³ã°ã«å¿ããŠãããã®ããããè¯ãã£ãã
éã«ã«ãŠã³ã»ã©ãŒãæãã§ãå·åå»ãšã¯æè¡ã®åéçž«ã£ãŠã¡ãã£ãšãã話ããªããšããã¯ãªããã¯ã¯å€ãã®ã§ãåã£ç«¯ããçŽæ¥èãããããšãèãããšããã®ã¯å€§ãããšæããŸãã”
ã«ãŠã³ã»ãªã³ã°ã§äžå¯§ã«çްãã説æããŠããããã¢ãã¿ãŒã±ã¢ãã¡ãããšããŠãããŸãããçµæãæºè¶³ã§ããçŸå®¹ã¯ãªããã¯ã®å çã«ç¶ºéºã§ãããšããè€ããããŸãã”
æè¡èªäœã¯1æéã»ã©ã§çµãããæã£ãããçã¿ãå°ãªãã£ãã§ããè¡åŸã®è «ãã¯1é±éã»ã©ç¶ããŸããããåŸã ã«åŒããŠãããŸããã
çµæã«ã¯å€§æºè¶³ã§ã!å·Šå³ã®äºéå¹ ãã»ãŒåãã«ãªããèªç¶ãªä»äžããã«ãªããŸããã以åããç®ã€ããåªãããªã£ããšåšãã«ãèšãããŸãã
ã³ã³ãã¬ãã¯ã¹ããè§£æŸãããŠèªä¿¡ãã€ããŸãã!”
ãããã質å
æè¡æéã广ã«ã€ããŠ
- Q.äºéåéæ³ã®æè¡æéã¯ã©ã®ãããã§ããïŒ
- A.äºéåéæ³ã®æè¡æéã¯éåžžã1æéåãã2æéçšåºŠã§ãããã ããåã ã®æ£è ããã®ç¶æ³ãåžæã«ãããæè¡æéã¯ç°ãªãå ŽåããããŸãã
- Q.äºéåéæ³ã®å¹æã¯æ°žä¹ çã§ããïŒ
- A.äºéåéæ³ã¯ç®èãåéãããŸã¶ãã®æ§é ãå€ããæè¡ãªã®ã§ããã®å¹æã¯åºæ¬çã«æ°žä¹ çã§ãããã ããå 霢ãªã©ã«ããèªç¶ãªå€åã¯é¿ããããŸããã
è¡åŸã®çã¿ãããŠã³ã¿ã€ã ã«ã€ããŠ
- Q.äºéåéæ³ã®æè¡åŸãçã¿ã¯ãããŸããïŒ
- A.è¡åŸã«ã¯äžæçãªçã¿ãäžå¿«æãæããããšããããŸãããããã¯äžæçãªãã®ã§ãéåžžã¯æ°æ¥ã§æ¹åããŸããçã¿ã匷ãå Žåãé·æéç¶ãå Žåã¯ãå»åž«ã«çžè«ããŠãã ããã
- Q.äºéåéæ³ã®ããŠã³ã¿ã€ã ã¯ã©ã®ãããã§ããïŒ
- A.äºéåéæ³ã¯äžéšã®è «ããå åºè¡ãããããã倧ããã¯è¡åŸ1~2é±éãè «ããŒã£ããã¯1ïœ2ãµæçšåºŠããããŸãããã ããåã ã®äœè³ªãå埩åã«ãããå®å šã«å埩ãããŸã§ã®æéã¯ç°ãªããŸãã
ã¡ã€ã¯ãæŽé¡ã®åéææã«ã€ããŠ
- Q.äºéåéæ³ã®æè¡åŸãããã«ã¡ã€ã¯ã¯å¯èœã§ããïŒ
- A.è¡åŸã®è «ããå åºè¡ãèœã¡çããŸã§ã2é±éã¯ã¢ã€ã¡ã€ã¯ãæ§ããŠããã ããŸãããã®åŸã¯ãå»åž«ã®æç€ºã«åŸã£ãŠã¡ã€ã¯ãåéã§ããŸãã
æè¡è·¡ã®ç®ç«ã¡ããã
- Q.äºéåéæ³ã®æè¡è·¡ã¯ç®ç«ã¡ãŸããïŒ
- A.åœé¢ã§ã¯ãç®ç«ã¡ã«ããåéæ³ãæ¡çšããŠããŸããæè¡çŽåŸã¯èµ€ã¿ãè «ãããããŸãããæéãšãšãã«ç®ç«ããªããªããŸãããŸããã¡ã€ã¯ã§ãååã«ããŒã§ããŸãã
æé衚ïŒçšèŸŒäŸ¡æ ŒïŒ
| åéæ³ | Â¥396,000 |
|---|---|
| çŒçª©èèªé€å» | ¥110,000 |
| äœå°ç®èåé€ | ¥66,000 |
| çŒçŒäžååŠç远å ïŒçåŽïŒ | ¥66,000 |
| 3幎è£å | ¥88,000 |
| çŒçŒäžåçâŒ¿è¡ | Â¥550,000 |
| çŒçª©å èèªé€å»è¡ | Â¥198,000 |
| ãã®ä» | ãçžè«ãã ãã |
- è¡åŒãªã©æè¡ã®å 容ã«ãã£ãŠæéãç°ãªããŸãã®ã§ã«ãŠã³ã»ãªã³ã°æã«ãçžè«ãã ããã
- çåŽã®ã¿ã®æè¡ãåžæãããæ¹ã¯äžèšã®8å²ã®éé¡ãšãªããŸãã
- çåŽæ¯ïŒå·Šå³å¥æ¥ïŒã®æè¡ãåžæãããæ¹ã¯ã2åç®æè¡ã®éã«å¥éÂ¥30,000ïŒçšå¥ïŒãèŠããŸãã
- çŸåšTCTã¡ã³ããŒåéäžïŒã¢ãã¿ãŒå²åŒïŒã§ãããçžè«äžããã
ãã¯ã¿ãŒã³ã¡ã³ã
åœé¢ã§è¡ã£ãŠããéçŒè¡ã§ã¯ã倩ç¶ã®èªç¶ãªäºéãåçŸããããšãå¯èœã§ããæçè ±èããé£ãªãèãå©çšãããçŒçª©éèå転çŒèŒªçåºå®æ³ããè¡ãããšã§ãå ã æã£ããã®æ§ã«ä»äžããããšãå¯èœã§ãã
ãããå®çŸãããŠããçç±ã¯ãèªç¶ãªäºéã®æ¹ã®æ§ã«ããŸã¶ãã®éãéããšå ±ã«åãäºéãäœãããšããããšã§ããäºéæŽåœ¢ã®æ¬ ç¹ãšããŠããæããããã®ã¯ãããã ç®ããããœãŒã»ãŒãžç®ãã§ãã
åœé¢ã§ã¯ãã©ã€ã³ããŸã¶ãã®éãéããšå
±ã«ç®èãåŒãå»¶ã°ãããããã«ãåŒãã å°è±¡ãç¡ããªããŸãã
ä»é¢ã§ã§ããŠããŸã£ãããã ç®ãçãä¿®æ£ããããšãè¡ã£ãŠããŸãã®ã§ãããããªäºéãäœãããæ¹ã¯æ¯éãšããçžè«ãã ããã
æ¥æ¬åœ¢æå€ç§åŠäŒå°éå»
å»çæ³äººç€Ÿå£ è¡æäŒ çäºé·
ç°ç§ è¡å¿














åéç·ãèªç¶ãªåéæ³
ãããã«ãªãããã«äºéæŽåœ¢ãããŠããæè¡ã®éãå·ããšããã£ããå°ç¡ãã§ãããã£ãŒãºã¯ãªããã¯ã§ã¯åœ¢æå€ç§ççž«åã§ããããªå·è·¡ã«ãªããŸããåéç·ã¯å幎çšåºŠã§èªç¶ãªäºéãšããŠãªããã§ãã»ãšãã©ããããªããªããŸãã