回復期間 効果と
持続性 丁寧な
カウンセリング 手術リスク
と合併症 治療の流れ アフターケア 症例紹介 よくある質問 料金表 埋没法と
切開法の違い 失敗・修正
について
二重埋没法とは|埋没法専用の糸で二重まぶたを形成する手術方法
二重埋没法は、専用の糸を用いて二重まぶたを形成する手術です。目立たない小さな孔を開け、糸で留めることで二重のラインを作ります。手術時間が短く、傷跡がほとんど残らないため、術後の腫れや痛みが少ないのが特徴です。
二重のラインが自然に見え、自分自身のまぶたの厚みや形状に合わせて調整することができるため、自然な印象を持つ二重まぶたを作ることが可能です。
また何か問題があれば、糸を抜くことで元に戻すことも可能です。
二重埋没法の特徴|短時間で行え、自然な仕上がりが期待できる
当院では「ループ縫合法」の二重整形埋没法を採用しています。
まず患者様のご要望を聞きながら、自然な二重を作るようにデザインをします。その後、埋没の測定を行った後に手術を行うため再現性の高い埋没法を行うことができます。
二重埋没法の適応症例|軽度から中程度の一重まぶたの方
二重埋没法は、以下のような方に特に向いています
切開の二重には抵抗があるけど二重にしてみたい方
切開法のように皮膚を切らずに二重のラインを作るため、切開法に比べてダウンタイムが圧倒的に少なく、また手術後の傷跡をほとんど気にすることがありません。忙しくて長く休みが取れないけど二重にしてみたい方
手術時間が短く、手術後の腫れや痛みが少ないため、比較的早くに日常生活に戻ることが可能です。 忙しい方でも手術を受けやすいです。毎日のアイメイク・アイテープに時間がかかる方
毎日のアイメイク時のアイテープ(アイプチ)の手間を省くことができ、メイク時間を短縮できます。
手術時間は、1回のアイメイク時間よりも短いのが特徴です。(※当院調べ)気軽に二重になってみたい方
費用は切開法に比べると安く、手術は早くに終わり、手術後のケアもほぼございませんので、気軽に二重になりたい方に適しています。
またイメージと違うなど合わなかった場合には、糸を抜けば元の状態に戻せます。周りにバレずに二重にしたい方
手術後ほとんど傷跡がなく、腫れも少ないため、周りに手術をしたことを知られることなく二重になることができます。
二重埋没法の手術方法|まぶたの内側に埋没法専用の糸を通す
二重埋没法は、上まぶたに肉眼ではわからない程度の孔を2カ所あけ、埋没法専用の糸を用いて皮膚と瞼板を固定します。一般的にまぶたが薄い方におすすめです。
局所麻酔の使用|手術中の痛みを軽減する
最初に痛みのない点眼麻酔を行います。次に局所麻酔を行います。施術中の痛みは感じません。(極細の針を用いて麻酔しますので、痛みは極力抑えられます。)
※痛みの感じ方には個人差がありますので、痛みを感じる方もまれにいらっしゃいます。
埋没法専用の糸の選択|極細縫合糸であるけれど切れない強度を持った糸を選択
当院では、7-0 nylonという非常に細い糸と特殊な形状の針で作られた埋没法専用の糸を使いますので、術後まぶたの結び目はわかりにくくなります。
長期間にわたり切れることのない強度を持った糸を採用しています。なお当院では、使っている器具や糸の細さで費用は変わりません。
糸の留置|まぶたの内側に糸を通し、理想的な二重のラインを形成
事前にデザインした通り、上まぶたに0.5mm程度の孔を2カ所あけ、埋没法専用の糸を用いて皮膚と瞼板を固定します。
二重埋没法の術後経過と回復期間|短いダウンタイムが魅力
術後の腫れと内出血|1~2週間程度で落ち着く
主な腫れは1週間程度で落ち着きますが、内出血が強い場合には2週間ほどかかることがあります。
手術後は、腫れなどの状態に応じてリカバリー室での休憩後、そのままご帰宅いただけます。主な腫れは数日から1週間程度で落ち着きます。
内出血は、軽度では1週間、重度の出血の場合では消退するのに2週間程度要します。
短い回復期間|数日で日常生活に復帰可能
二重埋没法は、手術時間が短く、腫れや痛みも少ないため、比較的早く日常生活に戻ることができます。忙しい方でも手術を受けやすいです。
二重埋没法の効果と持続性|自然な二重のラインを形成
自然な仕上がり|元々の目の形に近い二重のラインが実現
二重埋没法は、まぶたを切らないので、短い期間で二重まぶたになることができます。また、二重のラインが自然に見え、自分自身のまぶたの厚みや形状に合わせて調整することができるため、自然な印象を持つ二重まぶたを作ることが可能です。
持続性について|個人差はありますが、数年から数年以上持続
二重埋没法の効果は、個人差がありますが、1年から5年程度持続します。そのため、半永久的な二重まぶたを希望する方には向いていない施術です。(※当院調べ)
当院の二重埋没法の特徴|細やかな技術と丁寧なカウンセリング
線で固定するループ縫合法|シンプルであり自然な二重を実現
当院では「ループ縫合法」を採用しています。旧来の点で固定する方法とは異なり、二重のラインに沿って横長のループ(輪)を作るように糸を埋没します。これにより、強度が増し、しっかりとした二重が形成されます。
点で固定する方法とは違い、線で固定するために固定は強くしっかりと二重が形成されます。点固定では物足りなかった固定強度が増した上に、点固定よりも糸の数が少なくよりシンプルとなります。
<注意>結膜側(まぶたの裏)からの固定方法に関して:
当院では、結膜側からの固定法は採用していません。それには理由があるからです。結膜側からの固定では結び目は見えにくくなりますが、操作が複雑な上、何かあって糸を抜糸したい場合にとても困難になるからです。
熟練医師による繊細な施術|理想的な二重のラインを追求
当院の医師は、日本形成外科学会専門医の資格を持ち、二重埋没法の豊富な経験があります。熟練の技術を持つ医師が、患者様一人ひとりに合わせた最適な施術プランをご提案し、理想的な二重のラインを追求します。
患者様のご要望に合わせたオーダーメイド治療
当院では、患者様のご希望をお聞きし、まぶたの状態に合わせ、治療方針、治療方法、リスク、麻酔方法など、詳しく説明します。
まぶたの詳細な測定・評価を行った後、オーダーメイドの治療プランを作成(測定と治療プランはデータとして保存)します。
手術後のフォロー体制|アフターケアも万全
手術後は、1週間後に経過診察のため来院していただいております。その後も定期的な診察を行い、患者様の回復状況を確認します。
何か問題があれば、すぐに対応できる体制を整えています。術後1カ月以内に不具合が生じた場合には、補償範囲内で修正も可能です。
二重埋没法の手術リスクと合併症|事前の理解が大切
手術リスクについて|感染や糸によるトラブルなどのリスクを説明
二重埋没法は、医療用の糸を使用する手術のため、感染や糸によるトラブルなどのリスクがあります。
当院では、衛生管理を徹底し、熟練の医師が丁寧に施術を行うことでリスクを最小限に抑えていますが、リスクをゼロにすることはできません。
手術前のカウンセリングで、リスクについて詳しくご説明し、患者様にご理解いただいた上で施術を行います。
合併症について|手術前のカウンセリングで詳細に説明
二重埋没法の術後には、違和感や二重のラインが消失する合併症が起こることがあります。
糸が外れたり、埋没部分が盛り上がることで違和感が生じることもあります。また、時間の経過とともにラインが薄れてしまう可能性もあります。
これらの合併症について、手術前のカウンセリングで詳しくご説明し、患者様にご理解いただいた上で施術を行います。
治療の流れ
Step.01
診察
医師によるカウンセリングを行います。ご不安なことがありましたら、お気軽にご相談ください。
患者様のご希望やまぶたの状態に合わせ、治療方針、治療方法、リスク、麻酔方法など、詳しく説明します。
まぶたの詳細な測定・評価を行った後に、患者様のご希望をお聞きします。Step.02
デザイン
デザインにはまぶたについて解剖学的に詳細な測定が必要です。埋没法シートを用いて詳細な測定を行った後、デザインを行います。
デザインでは特殊な器具を用います。患者さまと一緒に、ご希望に沿ったデザインが可能なのか、ご希望の通りに行えるのか等を丁寧に説明して、デザインを完成していきます。
デザイン確定の後、採血検査(数日間を要します。)を行って、手術の予定を組んで参ります。当院では、初診当日の手術は行っておりません。
Step.03
麻酔
最初に痛みのない点眼麻酔を行います。次に局所麻酔を行います。施術中の痛みは感じません。(極細の針を用いて麻酔しますので、痛みは極力抑えられます。)
※ 痛みの感じ方には個人差がありますので、痛みを感じる方もまれにいらっしゃいます。
Step.04
手術
手術時間は20分程度です。
事前にデザインした通り、上まぶたに0.5mm程度の孔を2カ所あけ、埋没法専用の糸を用いて皮膚と瞼板を固定します。Step.05
術後経過
腫れなどの状態に応じてリカバリー室での休憩後、ご帰宅いただけます。
1週間後に経過診察のため来院していただいております。
アフターケア
手術後
腫れなどの状態に応じてリカバリー室での休憩後、そのままご帰宅いただけます。
シャワー・入浴
当日から特に制限はありませんが、長湯しないようにしましょう。
メイク
アイメイク以外は、手術直後から可能です。アイメイクは術後1週間後から可能ですが、優しく扱って下さい。
症例紹介
二重埋没法の症例です。
半年前に埋没法を受けたものの、糸が緩んでしまったため、再手術となりました。



- 症例
- 二重埋没法1 末広型
- 治療内容
- 医療用の糸で上まぶたを固定し、二重のラインを形成する治療です。局所麻酔にて手術を行います。
- リスク
- 内出血や腫れることがあります。
- 費用
- 165,000円
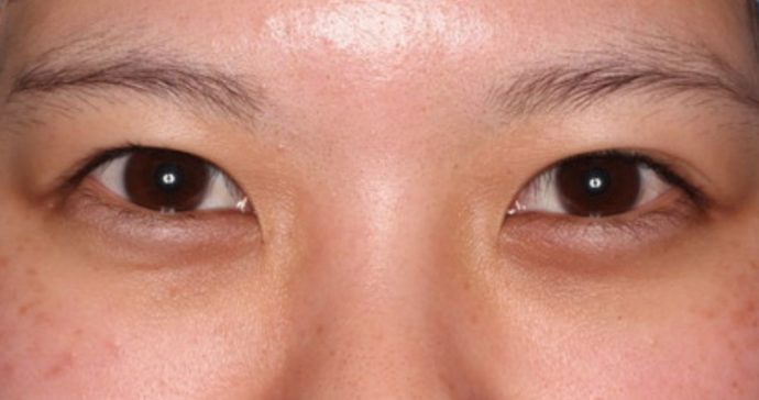
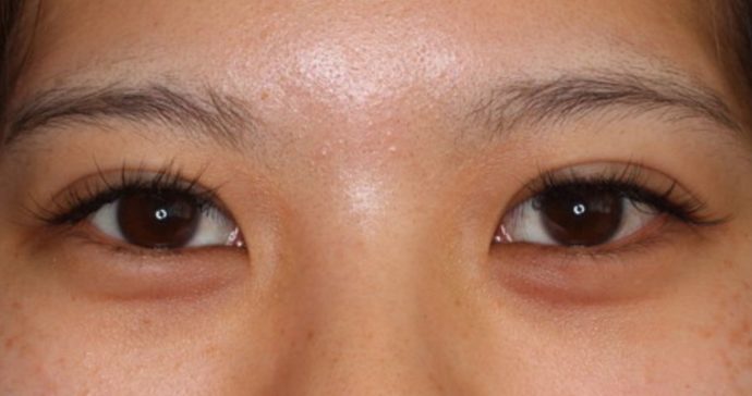
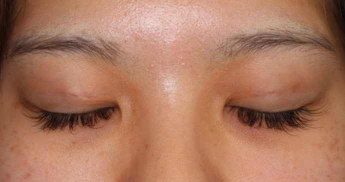
末広型の経過

術前
埋没糸が外れて奥二重になっています。

術後1ヶ月
くっきりとした二重になっています。

術後1ヶ月 閉瞼
二重のライン上によく見ると傷が見えます。しっかりと目を閉じないとわからない程度の傷です。

メイク後
アイメイク後の写真です。

メイク後 閉瞼
アイメイクをすると、傷はほとんどわかりません。
よくある質問
- Q.二重埋没法の手術時間はどのくらいですか?
- A.二重埋没法の手術時間は、当院ではデザインに20分、手術に20分程度です。ただし、個々の患者さんの状況や希望により、手術時間は異なる場合があります。
- Q.二重埋没法のダウンタイムはどのくらいですか?
- A.施術後すぐに日常生活に戻ることが可能です。ただし、腫れや内出血が出た場合は、腫れは数日から1週間程度、内出血は2週間程度で治まります。治るまでの期間に若干の個人差があります。
- Q.二重埋没法の効果は永久的ですか?
- A.二重埋没法の効果は一時的とお考えください。通常は長い方で5年、短い方は1年程度で糸がゆるみ、二重のラインが消えて一重に戻ることがあります。何度でも固定することは可能ですが、その際に古い糸の抜糸をおすすめします。永久的な二重を希望する方は、二重切開法を検討することをおすすめします。
- Q.術前の採血検査は必要ですか?
- A.次に手術を受ける患者さんにためにとお願いしております。前に手術を行った方の感染症の結果から器具の消毒方法を変更するなどして、安全で清潔な器具を準備することが可能となるのです。
手術の痛みや腫れについて
- Q.二重埋没法の手術後、痛みはありますか?
- A.手術後には腫れ、軽度の痛みや不快感を感じることがありますが、これは一時的なもので、通常は2~3日程度で改善します。痛みが強い場合や長期間続く場合は、医師に相談してください。
- Q.二重埋没法の術後、腫れはどのくらい続きますか?
- A.腫れは数日程度で落ち着きます。まぶたが赤紫色になる内出血が起こる場合もありますが、大抵の場合はメイクで隠せる程度で済み、時間経過で必ず消失しますのでご安心ください。
メイクの再開時期
- Q.二重埋没法の手術後、すぐにメイクは可能ですか?
- A.手術後の腫れや内出血が落ち着くまで、術後1週間はアイメイクを控えてください。その後は、アイメイクを再開できますが患部優しく扱ってください。
料金表(税込価格)
| 埋没法 1本固定 | ¥198,000 |
|---|---|
| 埋没法 2本固定 | ¥275,500 |
| 埋没法 埋没法抜糸 | ¥33,000-¥55,000 |
| 眼瞼下垂症手術 | ¥550,000 |
| その他 | ご相談ください |
- 術式など手術の内容によって料金が異なりますのでカウンセリング時にご相談ください。
- 片側のみの手術を希望される方は上記の8割の金額となります。
- 片側毎(左右別日)の手術を希望される方は、2回目手術の際に別途¥30,000(税別)を要します。
- 追加料金にて1年保証、3年保証をつけることができます。
- 現在モニター募集中です。ご相談下さい。
二重埋没法と二重切開法の違い|それぞれの特徴と適応症例
二重埋没法と二重切開法は、どちらも二重まぶたを形成する施術ですが、その手法と特徴は大きく異なります。埋没法は、まぶたの内側から埋没法専用の糸を通して二重のラインを作る方法で、手術時間が短く、ダウンタイムが少ないというメリットがあります。一方、二重切開法は、まぶたの皮膚を切開し、余分な脂肪や皮膚を取り除いた後に縫合する方法で、効果の持続性が高いというメリットがあります。
適応症例としては、埋没法は、軽度から中程度の一重まぶたで、手術の負担を最小限に抑えたい方に適しています。一方、二重切開法は、厚いまぶたや脂肪が多い場合、埋没法で理想的な二重のラインが得られない場合に適しています。
患者様のまぶたの状態や要望に合わせて、適切な施術方法を選択することが重要です。当院では、カウンセリングで患者様のご希望や目元の特徴を詳しく伺い、最適な施術方法をご提案します。
二重埋没法の失敗・修正について|リスクを理解し、適切な対処を
二重埋没法は、手術時間が短く、ダウンタイムが少ないというメリットがある一方で、思い通りのラインにならないリスクもあります。糸が外れたり、埋没した部分が盛り上がったりすることで、不自然な二重のラインになってしまう可能性があります。また、時間の経過とともに、二重のラインが消失してしまうこともあります。
埋没法の失敗や修正を防ぐためには、まず、手術前のカウンセリングで、リスクについて十分に理解することが大切です。また、手術は、経験豊富な医師に依頼することが重要です。手術後は、定期的な診察を受け、問題があれば早めに対処することが必要です。
万が一、失敗してしまった場合や、修正が必要な場合は、再手術や修正手術を検討することになります。当院では、そのような場合にも、患者様に寄り添い、最善の解決策をご提案します。
埋没法は腫れにくく、料金も安いため一般的に人気がありますが、ティーズクリニックでは一時的な仮止めという位置付けです。なぜなら、長い方で5年、短い場合は1年程度で糸がゆるみ、だんたんと元に戻るからです。
糸を複雑に絡めたり、何箇所も固定する方法は、トラブルが発生した場合に元に戻すことが困難なので当院ではおすすめしておりません。
まぶたがスッキリしていて脂肪が少なく、皮膚が薄い場合は比較的、元に戻りにくいようです。反対にまぶたが腫れぼったく、脂肪が多く皮膚が厚いタイプの方が埋没で二重整形をした場合、とれやすい傾向があります。
埋没法は永久的ではないため、取れやすい方には切開法をおすすめしています。
日本形成外科学会専門医
医療法人社団 聡明会 理事長
田牧 聡志






ドクターズコメント
この方は左の二重幅が若干広いのですが、眉毛のメイクで二重幅の差のバランスを取っています。二重整形で完璧な左右対称を求める患者様がいらっしゃいますが、逆に不自然になります。眉毛メイクでバランスを取るとナチュラルな二重に見えるようになります。
二重埋没法はあくまでも仮固定と言うことになります。まぶたの厚い方は外れてしまうこともあります。何回も固定することは可能ですが、数回外れる方は切開法をお勧めします。