症例一覧
二重切開法
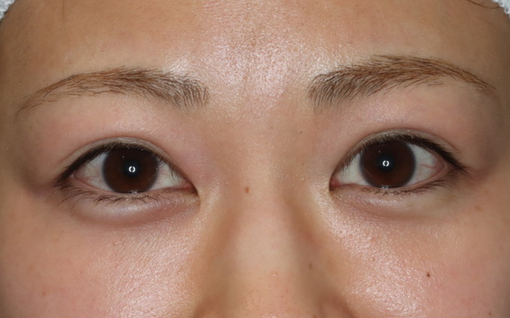
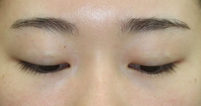
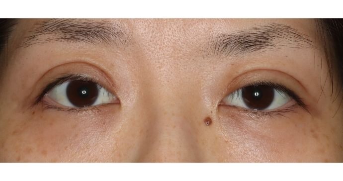
今までに二重に対して特に何もしていない二重切開法希望の方です。
「できれば切開法にて自然な二重にしたいです。」と受診されました。
受診時の写真ですが奥二重であり、二重幅(目を閉じた状態で計った)は4mm程度で二重の印象が少ない状態です。
初診の際にブジーを当てて確認すると、7mm程度で平行型になる状態です。
目頭の角度(内眼角)は右<左、左が広く右の方が平行型になりやすい状態です。
今回は左右共に平行型二重になるデザインを用いて、標準的な初回二重切開術をプランとしました。Before

After

- 症例
- 奥二重からの二重切開法
- 治療内容
- 希望した平行型二重を作れるようなデザインで、余分になった皮膚を切除するように切開し、必要に応じて余分な眼窩脂肪を切除、組織を縫合し重瞼線を作成します。
- リスク
- 内出血・腫れ・左右差・まれに二重が浅くなることがあります。
- 費用
- 572,000円
モニター457,600円
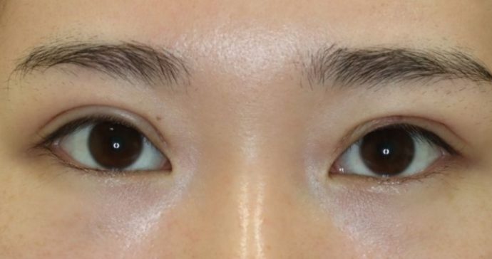
二重切開法の経過

術前
左右差が若干認められます。右の方が目頭の角度(内眼角)が既にミックス型(中間型とかIn/Out型とかも表現されている)になっています。
奥二重であることから目を大きく見せる二重の恩恵は受け難い(※印参照)状態です。
※正面から見た静止画では、二重という印象は受け難いのですが、実際にはまぶたは動きますから、静止画よりも実際には大きく見えています。
術前 閉瞼
今まで特に何もされたことがない綺麗なまぶたです。

デザイン
平行型を希望されていますが、平行型の特徴は目頭側のデザインの先端が蒙古襞から出ている(眉毛側にある)ことです。
この方は7mmで平行型になりますから、眉毛側に8.5mm、睫毛側に5.5mmのデザインをしています。
切除幅としては、年齢を加味したデザイン幅が設定されます。
20代は2mm程度、30代は3mm程度の切除が目安です。
術直後
腫れが強くしっかりと目を開ける(開瞼)することができません。

術直後 閉瞼
細かく縫合されていることがわかります。

術後1週間
このタイミングで抜糸を行います。腫れていますが、内出血は少なく良好と思われます。

術後1週間 閉瞼
まぶたを閉じる(閉瞼する)と右は少し内出血があったようです。この程度であれば二週間程度できれいになります。

術後2週間
形は良くなってきました。しっかりと平行型二重になっています。

術後2週間 閉瞼
右はまだ出血斑が残っています。一般的に左の状態の方が多いと思います。

術後1ヵ月
かなり形は落ち着きました。しっかりと平行型二重ですね。

術後1ヵ月 閉瞼
術後1ヵ月は、傷跡が最も目立つ状態と言われています。赤く目立っていますね。

術後3ヵ月
形態的にはほぼ完成です。

術後3ヵ月 閉瞼
傷跡はまだもう少し時間が必要です。術後3ヵ月でも少し傷跡が目立っていますね。もう少しがまんです。

術後6ヵ月
完成形です。左は、目を開ける(開瞼する)と眉が上がる癖があるため、若干の左右差が出てしまいますが、それも自然で良いでしょうか。

術後6ヵ月 閉瞼
かなり綺麗な傷跡でしょう!
施術の詳細
治療内容 施術名[具体的な術式名] 眼瞼隔膜反転眼輪筋固定法 使用機器/技術[詳細] 剪刀
持針器
縫合糸麻酔方法[詳細] 局所麻酔(2%キシロカイン+7%メイロン) 費用 この症例 標準的な費用範囲 561,000〜791,000円
※価格改定のため治療期間・回数 施術回数 1回 ダウンタイム 1カ月程度 完成まで 6カ月〜1年 主なリスク・副作用 [具体的なリスク1] 知覚鈍麻等の知覚異常 [具体的なリスク2] 薬、注射や材料に対するアレルギー反応 [具体的なリスク3] 二重線が浅くなる、ラインが乱れることがある
二重切開法(他院修正)
年齢:20代
有名クリニックで修正を2回している方です。特に左のラインが変形していて内側に強く惹かれていて広くなっているのが気になると言うことで受診となりました。初回の手術を併せて3回修正しているので、今回4回目の二重切開法の手術となりました。ラインの不整だけではなく、いわゆる、ハム目となっていることが問題であるようで、睫毛(まつげ)の生え際(はえぎわ)が見えないのも気になるところです。
Before

After

- 症例
- 他院切開法から切開修正術
- 治療内容
- 希望のラインで皮膚を切開し、必要に応じて余分な皮膚や脂肪を切除、組織を縫合し重瞼線を作成します。
- リスク
- 内出血・腫れ・まれに二重が浅くなることがあります。
- 費用
- 825,000円
モニター742,500円
ドクターズコメント
二重切開法(他院修正)
名のある先生方による重瞼術後への修正症例です。ハム目と言って、睫毛側の皮膚が弛んでしまい、睫毛の生え際が見えずすっきりしない症例は良く来院されます。当院の方法ではそのようにはなりませんので、是非ともご相談ください。
日本形成外科学会専門医
医療法人社団 聡明会 理事長田牧 聡志
二重切開法(他院修正)の経過

術前
見た目の印象は「ハム目」でしょう。皮膚のたるみが生じていて、睫毛(まつげ)の生え際は見えていません。皮膚のたるみによって肌色が強く、目の大きさ印象付ける影ができず、目が小さい印象の状態です。

術前 閉瞼
切開線の状態は正面視ではわかりにくいのですが、陥凹です。要するに窪んでしまっています。二重ラインより睫毛側の皮膚のたるみがあるため、二重ラインで皮膚が奥に入っている(皮膚のトラップ)ようになっています。

デザイン
前回までの二重ラインの傷跡を切除するようなデザインを設定しています。矢印は窪みが強い部位で皮膚の解除(皮膚のトラップ解除)することを目指してもデザインです。

術直後
右の内側は皮膚の引き込み(皮膚のトラップ)が強く、解除に難航しました。どうなるか気になるところです。左は内側は皮膚のトラップを完全に解除できたためか若干強く引かれているようです。

術直後 閉瞼
目を閉じると左右共に綺麗に皮膚の引き込み(皮膚のトラップ)が解除できているように見えます。

術後1週間
この時点では非常に綺麗にいっている様です。腫れは、さすがに出てしまいました。

術後1週間 閉瞼
標準的な術後1週間の状態です。

術後1ヵ月
かなり腫れが引いてきています。日所に順調です。右は眉が少し上がり気味で若干広い印象になっています。

術後1ヵ月 閉瞼
かなり綺麗な術後1ヵ月です。右の内側はまだ引き込みが強いようです。修正術は本当に難しいです。

術後3ヵ月
形態はほぼ完成です。右は二重幅は少し広い状態の様です。

術後3ヵ月 閉瞼
瘢痕は少し残っていますが、左はかなり綺麗になっています。色白な方なので結果が良いです。右は内側の瘢痕が少し残ってしまっています。

術後6ヵ月
完成しました。右の眉が上がり少し広く写っているようですが、非常に綺麗です。

術後6ヵ月 閉瞼
かなり綺麗になっています。左は完璧です。右は若干瘢痕がわかりますが、術前のような引き込みによる陥凹は無いようです。
二重切開法
年齢:20代
過去に埋没法を一度行っていて、右の埋没は残っていますが、左の埋没は外れてしまっています。右は、8mm程度のミックス(中間・In/Out)に近い平行型です。左右を合わせるようにと切開希望で受診となりました。
Before

After

- 症例
- 他院埋没法から切開法
- 治療内容
- 希望のラインで皮膚を切開し、埋没糸の抜糸、必要に応じて余分な皮膚や脂肪を切除、組織を縫合し重瞼線を作成します。
- リスク
- 内出血・腫れ・まれに二重が浅くなることがあります。
- 費用
- 550,000円
モニター440,000円
ドクターズコメント
二重切開法
眼の大きな方ですから幅の広い二重も良いとして手術を計画しました。
目を開けた状態での二重の比率(二重幅/瞼裂幅:開いている目の幅と二重幅)としては30%と広いのですが、決して眠たい目の印象は無いようですね。
二重幅は広い二重の場合は、まぶたの腫れが引くのに時間が掛かる時があります。日本形成外科学会専門医
医療法人社団 聡明会 理事長田牧 聡志
二重切開法の経過

術前
埋没法がされていたようですが、既に外れてしまっているような印象です。平行型のようなデザインです。

術前 閉瞼
埋没糸の結び目は目立っていません。

デザイン
二重幅としては広めの9mmを目指してデザインしました。皮膚の切除は3mmです。11/③です。

術直後
かなり腫れているようです。腫れ具合は二重幅や二重の組織量などで個人差が強く出ますから予測は難しいです。
大きく目立った内出血などは無いようです。
術直後 閉瞼
左右差がなく終わっています。

術後翌日
翌日には、どの程度内出血したかがはっきりとわかりますが、内側のわずかに出血がある程度で殆どないことがわかります。

術後翌日 閉瞼
眼を閉じると内出血がほぼ無いことがわかります。全体的に赤いのは炎症でしょう。

術後1週間
右の方が腫れが強いようです。

術後1週間 閉瞼
赤みが残っているのは炎症と若干の出血斑(出血痕がにじみ出ているの)でしょう。

術後1ヵ月
やはり何となく右は腫れが強いですが、二重が広めにしては腫れが少ない印象です。※二重幅広いと腫れが長く続く傾向があります。

術後1ヵ月 閉瞼
傷跡はこの頃が最も醜いと伝えてありますが、全体的に赤みが強く固い印象です。

術後2ヵ月
腫れはかなり引いてきました。見た目の二重は希望通り広めに出来上がっています。

術後2ヵ月 閉瞼
傷跡はまだ残っていますが、全体的に平坦で良い形態です。

術後3ヵ月
完全に腫れは解消していますが、写真の移り方でじ左右差が若干残っているように感じます。左は少し広めとなっています。

術後3ヵ月 閉瞼
デザイン上の左右差は無いことがわかります。平坦でとてもきれいですね。

術後6ヵ月
左右差に関してはほぼないと思います。

術後6ヵ月 閉瞼
ファンデーションが傷跡にたまっていますが、術後3カ月より綺麗になっているはずです。ある意味、切開部位がわかるようになっていて左右差なくデザインがされていたことがわかります。
重々しい一重からの二重切開法
年齢:20代
非常に重みのある印象を与える瞼を、二重切開によりすっきりとした綺麗な二重に変えられた症例です。
Before

After

- 症例
- 重々しい一重からの二重切開法
- 治療内容
- 希望のラインを中心としたデザインで、余分になった皮膚を切除するように切開し、必要に応じて余分な眼窩脂肪を切除、組織を縫合し重瞼線を作成します。
- リスク
- 内出血・腫れ・左右差・まれに二重が浅くなることがあります。
- 費用
- 517,000円
ドクターズコメント

二重切開法
元々少し左右差が有る症例を経験しました。
眼瞼下垂を矯正するまででもないため、挙筋前転は行いませんでした。左右差はむしろ自然と受け止めていてそれも一つの正解ですね。
切開線(創部)は半年から1年で二重ラインになじんでほとんどわからなくなります。日本形成外科学会専門医
医療法人社団 聡明会 理事長田牧 聡志
重々しい一重からの二重切開法の経過

術前 開瞼
非常に重々しい印象を与える一重まぶたです。右が少し開きが弱い方です。

術前 閉瞼
まぶたを閉じた状態でも思い印象があります。この様な方では埋没法を行っても、短期間で糸が外れてしまう可能性が高いため、切開法が必要と説明しました。

デザイン
年齢的には2mm幅での皮膚切除を予定するところを、彼女の場合は余剰皮膚が多いため3.5mm程度で設定をしています。

術直後 開瞼
特に問題はなく終了しています。

術直後 閉瞼
全体的にまぶたの組織量が多いため腫れは強く出てしまいそうです。

術後1週間 開瞼
想像以上に腫れが少ないですね。

術後1週間 閉瞼
術後一週間でもかなり綺麗に仕上がっています。

術後2週間 開瞼
若干腫れが残っていますが、予想以上の結果にご満足いただいています。

術後2週間 閉瞼
左の方が二重幅が広い印象に見えますが、眉が上がる癖が出てしまっているためです。

術後1ヶ月 開瞼
ほぼ落ち着いた印象に見えます。

術後1ヶ月 閉瞼
術後一カ月は創部が最も気になる時期です。

術後3ヶ月 開瞼
ほぼ完成したようですね。とても治癒が早いです。写真では右が少し開き(瞼裂)が弱く撮れてしまった様です。

術後3ヶ月 閉瞼
切開創部がかなり綺麗になって来ています。とても良いです。d

術後6ヶ月 開瞼
とても良い仕上がりに、ご本人は喜んでおりました。

術後6ヶ月 閉瞼
切開部は全く分かりません。

術後12ヶ月 開瞼
左の眉を上げる癖はかなり無くなって来ていますが、まだ残っていますね。
余り強い場合は、積極的に訓練したり、ボトックスなどを用いたりします。
術後12ヶ月 閉瞼
肌の性質がとてもよく、非常にきれいになって手術したかがわからない程度です。遠目ではどこを切ったのか確認ができないほどです。
二重切開法+目頭整形
年齢:20代
平行型二重と目頭整形(内眼角形成)を希望された症例です。しっかりと幅を確保した平行型二重と少し下向きに目頭を作りたいとの要望でした。
Before

After

- 症例
- 二重切開法、目頭切開
- 治療内容
- 従来通りの挙筋腱膜反転眼輪筋固定法による重瞼術とシンプルで術中調整が可能なZ形成による目頭切開(内眼角形成)を行いました。
- リスク
- 内出血・腫れ・まれに二重が浅くなることがあります。
- 費用
- 820,000円(二重切開580,000円+目頭切開240,000円)
モニター656,000円
ドクターズコメント

二重切開法,目頭切開
切開法、目頭切開(内眼角形成)はドクターやクリニックによっていろいろな手法があります。当院では、師匠の鶴切先生から伝承された「挙筋腱膜反転眼輪筋固定法」を採用しています。目頭切開(内眼角形成)は、術中調整が可能とされているZ形成による皮弁形成術、を基本としています。
日本形成外科学会専門医
医療法人社団 聡明会 理事長田牧 聡志
二重切開法+目頭整形の経過

術前
他院の埋没法により、元は狭い二重であり末広型です。目頭間隔(内眼角距離)が広め(鼻の幅:鼻翼間距離に対して)であり少しの工夫で、非常に良くなり得るタイプの印象でした。

術前 閉瞼
埋没法を両側+片側であり、傷跡(瘢痕)は殆ど確認できませんでした。

デザイン
術前に行ったデザインですが、2mm切除で目を閉じた時の状態での二重幅で8mmをゴールとした9mm/2mmでした。目頭切開(内眼角形成)は一辺が2mmの皮弁をデザインしました。

術直後
左の内側がかなり赤みが出てしまい、また腫れも強く出てしまいました。

術直後 閉瞼
腫れて盛り上がった様子がわかりますね。術直後ですから致し方がありません。目が閉じていないように見えますが、心配は不要です。2mm程度の皮膚切除幅では全く心配はありません。

術後1週間
術後1週間としては、かなりの出来だと思います。左の内側が腫れていることには変わりがありません。目頭切開(内眼角形成)ははっきりしていませんが、何となく良さそうです。

術後1週間 閉瞼
左の内側が赤みが強く、また腫れていますが、抜糸直後としては非常に綺麗だと思います。

術後2週間
かなり腫れも引き綺麗になって来ていますが、左の内側が強く目立ちますね。

術後2週間 閉瞼
赤みはほぼ解消しているようですが、まだ目が閉じれていない印象に見えます。・・・心配はいりません。

術後1ヵ月
左の内側が腫れている以外はかなり綺麗です。目頭切開(内眼角形成)もこの辺りで良い形態を見せているのがわかります。

術後1ヵ月 閉瞼
術後1カ月には見えない程綺麗です。

術後3ヵ月
左の内側には若干の腫れが残っています。経過を見てわかると思いますが、徐々に腫れは改善していきます。目頭切開(内眼角形成)も非常に良く希望通りに完成しています。

術後3ヵ月 閉瞼
術後半年くらいが傷跡の目安なのですが、3カ月で非常に綺麗になっています。肌の性質が関与している事実です。ご両親に感謝ですね。

術後6ヵ月
左の内側(目頭側)の腫れは完全に無くなり、すっきりしています。開瞼(目を開けた)状態で非常に綺麗に完成しています。

術後6ヵ月 閉瞼
傷跡は、既に術後3ヵ月で綺麗になっていますから、術後6ヵ月でも本当に綺麗です。肌の白い方でしたから本当に綺麗になっています。

術後12ヵ月
術後半年と比べるとさらに良くなっていることがわかりますね。完全に完成です!少し時間がかかりましたね。そのような方もいらっしゃいます。

術後12ヵ月 閉瞼
目を閉じても、正面からでも非常に綺麗ですね。

術後12ヵ月 横
凹凸は少なく、気が付かれない様な綺麗な瘢痕です。
末広型から平行型(中間型)の二重切開法
年齢:20代
20代前半の患者様です。今は浅い末広型の二重なので、目頭切開をしてでも、できる限り平行型になりたいと希望されティーズクリニックに来院されました。
当院では、目頭切開と合わせた整形も行っていますが、目の距離が近くなると全体の印象が変わってしまうため、できるだけ目頭切開を行わないデザインをすることとなりました。Before

After

- 症例
- 末広型から平行型(中間型またはインアウトライン)への切開法
- 治療内容
- 希望のインアウトライン型二重を実現させるため、少し広めに幅を設定して、できるだけ目頭切開を行わないラインを作成します。
- リスク
- 内出血・腫れ・まれに二重が浅くなることがあります。
- 料金
- 517,000円
ドクターズコメント
目頭切開と平行型二重
目頭切開などの内眼角形成でコントロールすることは、平行型二重まぶたにするために有効な場合があります。
しかしながら、印象を大きく変えてしまい、自然な二重からは程遠い印象となってしまいます。
今回の方は、インアウトライン型に落ち着いたため、良好な結果を得られたと判断しました。日本形成外科学会専門医
医療法人社団 聡明会 理事長田牧 聡志
末広型から平行型(中間型)の二重切開の経過

術前の診察
光彩(黒目)の内側から始まる末広であり、幅の狭い二重です。

術前 閉瞼
左右差が無く、うっすらと重瞼線が見えます。末広型であるため、内側に向かって内眼角に重瞼線が落ち込んでいます。

デザイン
平行型にするためには、広い重瞼幅にすれば十分に可能ですが、不自然な二重になる可能性もあることから、できる限り幅が狭く(目標幅は9mm)平行型になる様にデザインしました。
しかしながら、この方の内眼角の形状から、末広型になってしまう可能性もあることから、その場合は目頭切開をすることとしました。
術後1週間
術後1週間で抜糸直後です。
二重幅を広く取っているため腫れが目立ちます。若干の内出血を認めます。
術後1週間 閉瞼
右の内出血が強く出ています。この状態は当院の手技では平均より内出血が多い印象です。

術後1ヶ月
術後1カ月ですが、まだまだ腫れています。しっかりと平行型の二重ですが、時間が経過すると中間型から末広型に変わって行く可能性もあります。

術後1ヶ月 閉瞼
二重幅は右の方が広いような印象ですが、右眉が上がっているからと判断しました。
傷跡は、術後1ヶ月が最も目立つ時期です。
術後3ヶ月
術後2カ月ですが、右が少し広い印象ですが、やはり眉の上りの影響と判断しています。しかし、平行型からインアウトライン型に変化してきています。

術後3ヶ月 閉瞼
二重幅に関しては、左右差はほぼなくなってきています。しかしながら、右の内側の蒙古襞が強いような印象があります。

術後6ヶ月
二重幅に関しては、右の方が広い印象に見えますが、眉が上がっているからと判断しました。
二重の形状ですが、インアウトライン型になっていますが、本人はこの形に非常に満足されています。自然できれいな二重を実現しています。
術後6ヶ月
右眉が挙上しない様に抑制右の二重幅が左よりも広いように見えます。目を開くときに右側の眉を上げるクセがあるようなので、右眉が挙上しない様に指で抑えた状態です。
こうしてみると左右差は殆どありませんね。
術後6ヶ月 閉瞼
二重のラインにファンデーションが乗ってしまっていますが、ほとんど気にならない範囲の瘢痕であると思われます。

術後6ヶ月 下方視
視線を下にしたときのまぶたの状態です。こうすると殆ど気にならない瘢痕ですね。
埋没法からの切開法
年齢:20代
20代の患者様です。二重の強化(現在の不安定なラインを安定したものに強化する)希望で当院に受診されました。
Before

After

- 症例
- 二重切開法
- 治療内容
- ラインを安定させるように作成します。
- リスク
- 内出血・腫れ・まれに二重が浅くなることがあります。
- 料金
- 550,000円(税込)
ドクターズコメント
埋没法からのくっきり二重への切開
ラインが不安定になってしまうと気になるのは当然ですね。朝起きて不安定になっている瞼をそのままで家を出ることができな方は多いようです。
アイテープに頼ることより、思い切って切開法を検討してみるのもどうでしょうか。日本形成外科学会専門医
医療法人社団 聡明会 理事長田牧 聡志
埋没法からの二重切開の経過

術前の診察
埋没法を5年前に経験していますが、現在二重が不安定になってしまっているため、現在の二重を強化したいとのことで受診となりました。

デザイン
年齢的には、お若いので、皮膚の切除幅(2mm程度)は控えめに行いました。
既存のラインを尊重して、デザインを行いました。
術後1ヶ月 開瞼
傷跡は、術後1ヶ月が最も目立つ時期です。

術後1ヶ月 閉瞼
切開創は術後1か月が一番目立ちます。

術後1ヶ月 右側面
切開線は既に段差なくきれいになって来ています。

術後3ヶ月 開瞼
奇麗になって、形(二重の形態)はこれでほぼ固定です。

術後3ヶ月 閉瞼
かなり傷が目立たなくなってきています。

術後6ヶ月 開瞼
奇麗な末広型に仕上がっています。

術後6ヶ月 閉瞼
非常にきれいな瘢痕に仕上がっています。ほぼわからない瘢痕になっています。

術後6か月 閉瞼 左側面
切開線がわかりにくいことがわかります。
二重切開法(20代男性)
年齢:20代
20代の男性です。
完全な一重でしたが、就職する前に二重まぶたに変わってしまおうと思いティーズクリニックに来院されました。
希望のデザインは「自然な末広二重」、自然でありながら目立たず、しっかりとしたラインを希望されました。
デザインは6mmで切除幅は2mmとして、末広型の二重をプランしました。Before

After

- 症例
- 一重からの二重切開法(男性)
- 治療内容
- 希望のラインで皮膚を切開し、必要に応じて余分な皮膚や脂肪を切除、組織を縫合し重瞼線を作成します。
- リスク
- 内出血・腫れ・左右差・まれに二重が浅くなることがあります。
- 費用
- 517,000円
ドクターズコメント
遠方にお住まいのかたの手術
ティーズクリニックでは日本全国の方が二重切開法等の手術を受けられます。
手術翌日の診察、1週間後の抜糸のスケジュールは必須となります。その後の診察は状態により調整することもできますのでご相談ください。日本形成外科学会専門医
医療法人社団 聡明会 理事長田牧 聡志
二重切開(20代男性)の経過

術前
まぶたがまつげの生え際にかぶさった一重まぶたです。

デザイン
デザインは末広型で行いました。控えめな二重であり内側(目頭側)は近くまで切開するデザインをしていません。また、特に難しそうな印象ではありません。

術後1週間
術後1週間で抜糸直後です。右側に腫れがあります。この時期では左右差があることもありますが、全く心配することはありません。

術後1週間 閉瞼
若干の内出血が左にあったことが解ります。
遠方(関西)にお住まいなので、術後1ヶ月、2か月の受診はできませんでした。必須ではありませんが、できるだけ来院して頂ければ心配事は少なくなると思います。
術後3ヶ月
術後3か月経過すると、全く腫れが無くなり形態(見た目の形)は完全に落ち着きます。

術後3ヶ月 閉瞼
切開線は、目を閉じた状態と下を向いた状態(下方視)で非常にきれいです。
この時点で形は完成しています。後は二重線の色が無くなるのを待つばかりです。
術後8ヶ月
術前から撮影してきた今までの写真と角度、顔の角度が違ってしまいました。少し下に向かってしまっています。

術後8ヶ月 閉瞼
術後8ヶ月の写真で見ていて頂きたいのは、二重の切開線の色です。
形は3か月の写真を見てもらい、二重線の色のみ8か月で見てください。
ほぼ色が無くなり、自然になっています。
埋没法から切開法(他院修正)
年齢:20代
20代前半の患者様です。今まで他院で埋没法を1回されていますが、外れてしまったため
当院を受診して頂きました。
希望としては、しっかりと広めで、内側は平行っぽく、外側に向けて末広となる、中間的な二重を希望されました。
要するに、ラインが内側から外側に向けて全て見えているけれど、平行ではなく広がっている形です。Before

After

- 症例
- 他院埋没法から切開法
- 治療内容
- 希望のラインで皮膚を切開し、埋没糸の抜糸、必要に応じて余分な皮膚や脂肪を切除、組織を縫合し重瞼線を作成します。
- リスク
- 内出血・腫れ・まれに二重が浅くなることがあります。
- 料金
- 550,000円
ドクターズコメント
他院修正の二重切開
ティーズクリニックでは、幅が広い二重の場合は、まぶたの腫れが引くのに時間が掛かる時があります。
二重腺からまつ毛までの組織量が多くなるために腫れやすくなるようです。自然なラインを目指す場合は、9mmは二重幅では限界なのかも知れません。日本形成外科学会専門医
医療法人社団 聡明会 理事長田牧 聡志
埋没法から切開法の二重手術(他院修正)の経過

術前の診察
うっすらと以前の埋没法のデザインが残っていて、中間型二重(末広と平行の中間的で、目頭は狭く、目尻は広い)である。

術前 閉瞼
左右差が無く、うっすらと重瞼線が見えます。

デザイン
デザインは自然な中間型ふたえ(目頭から広がって行く感じ)で行いましたが、難しそうな印象ではありません。左右共に9mmとしてプランして、幅2mm程度で皮膚を切除してすっきりさせるようにしました。

術後1週間
術後1週間で抜糸直後です。幅が広くとっているため組織量が多く腫れが目立ちます。内出血は全くないですね。

術後1週間 閉瞼
術後1週間はまだ腫れているので、白目が少し見えます。
皮膚を少し取っただけですから、閉瞼(まぶたを閉じる)ができない訳ではありません。
術後1ヶ月
術後1カ月ですが、まだまだ腫れていて、我慢が必要な時ですね。
若干平行型様ですが、時間が経過すると中間型に変わっていきます。
術後1ヶ月 閉瞼
傷跡は、術後1ヶ月が最も目立つ時期です。

術後2ヶ月
術後2カ月ですが、右が少し広い印象ですが、写真の撮り方のためでしょう。
しかし、内側の広さは左右差が若干出てしまっています。
術後2ヶ月 閉瞼
切開線にも左右差が出てしまっているように見えます。二重まぶたが完成するまでの一時的なの問題だと思われます。

術後3ヶ月
二重幅に関しては、左右差はほぼなくなってきています。
しかしながら、内側の重瞼線の始まりが右の方が若干広いですが、結論的には内側の目の形に影響されてしまったようです。
術後3ヶ月 閉瞼
こうしてみると左右差は殆どありません。

術後6ヶ月 開瞼
完成形です!

術後6ヶ月 閉瞼
術後3ケ月と比較しても更に綺麗になっています。

術後6ヶ月 横
横から見たところですが、まったくの平坦であるとわかります。
埋没法から切開法の二重切開法
年齢:20代
20代後半の患者様です。当院の症例がよいとの事で受診して頂きました。
他院で埋没法をされていて、埋没糸の凸凹が気になります。
希望としては、現在入っている埋没のラインより少し広めの二重を希望されました。Before

After

- 症例
- 埋没法から切開法
- 治療内容
- 希望のラインで皮膚を切開し、埋没糸の抜糸、必要に応じて余分な皮膚や脂肪を切除、組織を縫合し重瞼線を作成します。
- リスク
- 内出血・腫れ・左右差・まれに二重が浅くなることがあります。
- 費用
- 550,000円
ドクターズコメント
他院修正の二重切開
ティーズクリニックでは他院修正の二重整形も多数扱っております。埋没法からの切開法、切開法の二重まぶたの修正などです。
他院での整形を修正したい場合はお気軽にご相談ください。日本形成外科学会専門医
医療法人社団 聡明会 理事長田牧 聡志
埋没法から切開法の二重手術の経過

術前
現在、6.5mm程度の重瞼であり、中間型二重(末広と平行の中間型で、目頭は狭く、目尻は広い)である。
デザインの結果、8mmとして、中間型二重をプランする
術前 閉瞼
目を閉じると、他院の埋没糸のデコボコがあります。

デザイン
デザインは自然な中間型(目頭から広がって行く感じ)で行いましたが、難しそうな印象ではありません。

術後1週間
術後1週間で抜糸直後です。右の方が腫れ、左は内出血を認めます。当院では、術中に時間を掛けて止血作業をしておりますから、これでも内出血が非常に多い方です。

術後1週間 閉瞼
以前、韓国の他院術後を抜糸したことがありましたが、スタッフが余りのひどさにビックリしたのを覚えています。当院ではこの症例は内出血が多い方です。

術後1ヶ月
術後1カ月ですが、右の腫れが残っています。しかしながら、内側が腫れが残り奇麗な平行型になっています。時間が経過すると中間型に変わっていきます。

術後1ヶ月 閉瞼

術後2ヶ月
術後2カ月ですが、少し腫れぼったい印象は残っていてますが、もう既に気が付かれないと思います。

術後2ヶ月 閉瞼
既に自然な感じです。 この方は、閉瞼時でも既に切開線が分からなくなりつつあります。 しかしながら、経過がとても速い印象ですので、こうなるとは限りません。(もう少し時間がかかるのが一般的です。)

術後3ヶ月
術後3カ月では、全く腫れが無くなります。

術後3ヶ月 閉瞼
閉瞼時に、切開線がほとんど分かりません。この方は特別かもしれませんが・・・ しかし、左の内側は少しラインの不正があります。この程度であれば、希望があれば完全に修正可能です。

術後6ヶ月 開瞼
術後6カ月では、非常にきれいに仕上がっています。
術後3ヶ月で認めた不整も無くなり綺麗に整っています。
術後6ヶ月 閉瞼
閉瞼すると、術後3ヶ月と同様に切開線がほとんど分かりません。
男性の二重切開法手術
年齢:20代
20代の男性です。当院は男性の方も意外に多いのでここで症例をお見せいたします。
Before

After

- 症例
- 男性の二重切開法
- 治療内容
- 希望のラインで皮膚を切開し、必要に応じて余分な皮膚や脂肪を切除、組織を縫合し重瞼線を作成します。
- リスク
- 内出血・腫れ・まれに二重が浅くなることがあります。
- 費用
- 517,000円
ドクターズコメント
男性の二重切開法
男性は就職や転職をきっかけに整形をする方が多いようです。二重まぶたにすると明るくて積極的に見えるなどのメリットがあるようです。
日本形成外科学会専門医
医療法人社団 聡明会 理事長田牧 聡志
男性の二重切開の経過

術前
術前の評価ですが、鼻翼幅(ここには写っていないのですが)と内眼角距離がほぼ同じです。末広も並行も作りやすい方と言えますね。今回は、自然は二重の末広型を希望されているので、そのような方針で行くこととしました。

デザイン
デザインですが、6mm幅に対して、切除幅を2mmとしました。結果的には閉瞼時の二重幅を5mmを目標とします。

術後1週間
術後1週間です。当院の術式の特徴として内出血が少ないことが挙げられます。これには術中にしっかりと止血作業に時間をかけているためで、このような細かな作業の積み重ねが、患者さんに良い結果をもたらすと信じております。
ちなみに結膜の赤い斑点は、原因不明であり手術とは関連がありません。

術後2週間
術後2週間です。かなり腫れが引いてきまして、平常に戻ったように見えます。もちろん、まだまだ腫れは引いていきます。

術後1ヶ月
術後1カ月です。何と、男前ですかね!しっかりと末広型が形作られていております。術後1カ月が一番傷が引きつられている状況です。

術後3ヶ月
ほぼ完成ですが、術後6カ月では、この傷跡がもっときれいになっていると思います。
目を閉じた写真では白目が見えます。これは術前から同じ状態ですので患者様のクセだと思われます。
末広型の二重切開法
年齢:20代
20代の女性です。末広型の二重を希望で受診となりました。
Before

After

- 症例
- 末広型の二重切開法
- 治療内容
- 希望のラインで皮膚を切開し、必要に応じて余分な皮膚や脂肪を切除、組織を縫合し重瞼線を作成します。
- リスク
- 内出血・腫れ・まれに二重が浅くなることがあります。
- 費用
- 517,000円
ドクターズコメント
自然な仕上がりの二重切開法
切開法はドクターやクリニックによっていろいろな手法があります。絶対に二重のラインが取れないけれども、まぶたを閉じると整形だとバレるような方法もあります。ティーズクリニックでは生まれつきのまぶたと同じように見える美しいラインができる方法を採用しています。目を閉じた時のきれいなラインに自信があります。
日本形成外科学会専門医
医療法人社団 聡明会 理事長田牧 聡志
末広型の二重切開の経過

術前
術前の評価です。鼻翼幅(ここには写っていないのですが)と内眼角距離がほぼ同じです。末広も並行も作りやすい方と言えますね。内眼角に蒙古襞があるため、自然な二重には末広型が丁度良いと、そのような方針で行くこととしました。

デザイン
デザインは8mm幅に対して、切除幅を2mmとしました。結果的には閉瞼時の二重幅を6mmを目標とします。内眼角の蒙古襞との関係を注視してみてください。

術後1週間
当院の術式の特徴として内出血が少ないことが挙げられます。これには術中にしっかりと止血作業に時間をかけているためで、このような細かな作業の積み重ねが、患者さんに良い結果をもたらすと信じております。

術後2週間
かなり腫れが引いてきまして、平常に戻ったように見えますが、まだまだ腫れは引いていきます。

術後1ヶ月
術後1カ月です。この辺りになると、初対面の人は全く気が付かないでしょう。しかし、術後1カ月頃が傷ははっきりとして引きつられている状況です。

術後3ヶ月
術後3カ月です。形は殆ど変わりません。これでほぼ決定です。

術後6ヶ月
そして、術後6カ月です。傷跡はきれいになっています。左は非常にきれいです。傷の治り方には個人差がありますので、左右差が出てしまうこともあります。

術後1年
この方は術後少し炎症後色素沈着が残ってしまったために術後12か月までの写真を載せますが、どうでしょうか。ラインは全くわからないように感じます。
奥二重から末広型の二重整形
年齢:20代
20代で末広型二重整形を希望され、来院された方です。
元々二重まぶたなのですが、日によってその幅が変わることや、奥二重でありアイライン効果が少ないことが気になっているようです。Before

After

- 症例
- 奥二重から末広型の二重切開法
- 治療内容
- 希望のラインで皮膚を切開し、必要に応じて余分な皮膚や脂肪を切除、組織を縫合し重瞼線を作成します。
- リスク
- 内出血・腫れ・まれに二重が浅くなることがあります。
- 費用
- 517,000円
ドクターズコメント
二重まぶたの完成
二重整形は目を開けている時だけではなく、目を閉じた時のラインが自然できれいかということにこだわっております。目を開けている時も、ティーズクリニックの方法では、いわゆる「ハム目」「ソーセージ目」のような変形は発生しません。
日本形成外科学会専門医
医療法人社団 聡明会 理事長田牧 聡志
奥二重から末広型の二重切開の経過

術前
閉瞼時は自然な二重にもかかわらず、うっすらとラインが残っています。
そのな方も実際には多いと思います。
術前の評価としては、蒙古襞も少しあり、鼻翼幅(ここには写っていないのですが)より内眼角距離が大きいので、末広になりやすいと言えますね。末広型を希望されているので、自然な仕上がりを目指すことができますね。

術後翌日
術後翌日ですが、当院では時間をかけて出血を極力なくす努力をしているため、内出血は少ないです。
青い色は、手術中に必要なデザインが少し残っていることによります。内出血ではありません。

術後1週間
抜糸直後です。腫れもありますが、術後1週間ですので仕方がありません。このような方もいらっしゃいます。
腫れに伴って目を完全に閉じることができていませんが心配ありません。

術後1ヶ月
彼女特有の目力が戻ってきました。大きく非常にきれいな印象を与えています。傷は赤みが残っておりますが、当院の方法ではこの程度です。

術後3ヶ月
腫れもなくなりました。傷は如何でしょうか。非常に奇麗ですね
ここでは、末広型が完成しています。閉瞼時の切開線もきれいです。
30代の二重切開法
年齢:30代
30代後半の患者様です。出産後の育休期間に末広型二重切開法の手術を希望され、来院された方です。
元々浅い二重なのですが、奥二重でありアイライン効果がないことから小さい目の印象となってしまっていて気になっていたようです。
術後は奥二重がはっきりとしたラインに代わって、大きな目の印象を与えています。Before

After

- 症例
- 30代の二重切開法
- 治療内容
- 希望のラインで皮膚を切開し、必要に応じて余分な皮膚や脂肪を切除、組織を縫合し重瞼線を作成します。
- リスク
- 内出血・腫れ・まれに二重が浅くなることがあります。
- 費用
- 517,000円
ドクターズコメント
二重整形のダウンタイム
切開法の手術後の腫れは、大きな腫れは2週間程度あります。術後1ヶ月経過すると、周りの人からは気づかれない程度の腫れになります。
夏休み、春休み、育児休暇、転職など長期の休みがある時に整形をされる方が多いのですが、最近は隠さずに周りに言う方も多いようです。日本形成外科学会専門医
医療法人社団 聡明会 理事長田牧 聡志
30代の二重切開の経過

術前
開瞼時(目を開けた時)は、左の眉が少し上がり傾向であり、その分、左の奥二重の方が若干広くなっていることが解ります。
術前の評価としては、蒙古襞も若干で、鼻翼幅(ここには写っていないのですが)が内眼角距離が広いので、幾分か平行になりやすいと言えます。しかし、特にデザインの際にはそのような傾向はありませんでした。

デザイン
デザインは自然な末広型で行いました。

術後1日
手術翌日です。当院では時間を掛けて出血を極力なくす努力をしているため、内出血は少ないですが、右は目尻に若干の内出血を認めました。
ほとんどの患者様が術後にサングラスを掛けていらっしゃいます。鼻(鼻根)にサングラス跡が着いていますね。

術後1週間
術後1週間で抜糸直後です。右のほうが腫れもあります。術後1週間では、黄色の印象が強いと思います。術後に内出血があったことが解ります。

術後2週間
術後2週間では、左右差が少し減って来ています。ただ、まだ印象としては術後の腫れが解りますね。
よく見ると、サングラスの跡が無くなって、サングラスを付けないでも生活ができるようになっています。
術後1ヶ月
術後1カ月です。右の腫れは少し残っていて左右差があると思います。傷跡は赤みが残っておりますが、しだいに薄くなっていきます。

術後3ヶ月
術後3カ月も経つと腫れもなくなります。

術後6ヶ月
そして、術後6カ月です。傷跡はきれいになっています。

術後1年
1年経過すると目を閉じた時の傷跡はほとんどわからなくなっています。
50代の二重切開法
年齢:50代
50代の患者様です。
上まぶたのたるみを気にされて来院されました。
眼瞼下垂というほどのたるみではありませんが、まつ毛の生え際にまぶたが被さり目が小さく見えてしまっています。
切開法でまぶたのたるみをとり、すっきりとさせました。Before

After

- 症例
- 二重切開法
- 治療内容
- 希望のラインで皮膚を切開し、余分な皮膚や脂肪を切除、組織を縫合し重瞼線を作成したるみを取り除きます。
- リスク
- 内出血・腫れ・まれに二重が浅くなることがあります。
- 料金
- 517,000円
ドクターズコメント
50代の二重切開法
年齢を重ねると、まぶたのハリがなくなり、上まぶたが目の上にかぶさってきます。
二重整形やアンコア、ペレヴェなど治療方法がいろいろありますので、お気軽にご相談ください。日本形成外科学会専門医
医療法人社団 聡明会 理事長田牧 聡志
50代の二重切開の経過

術前
上まぶたが目にかぶさり、まつ毛の生え際が見えなくなっています。
メイクでアイラインを引いても、上まぶたが被さるのでアイラインの効果がなくなってしまいます。
デザイン
上まぶたの余っている皮膚を取るようにデザインします。
20代の方の二重整形よりも切開する皮膚の範囲が広いのがお分かりいただけるでしょうか。
術後1週間
上まぶたの皮膚の切開範囲が大きいので、腫れが目立ちます。

術後3ヶ月
上まぶたがすっきりして、まつ毛の生え際が見えるようになりました。

術前と術後の比較
わかりやすいように、術前と術後を比較しております。
術前は上まぶたが目にかぶさっています。
術後は上まぶたがすっきりとして、まつ毛の生え際が見えるようになりました。
アイラインなどメイクを楽しむことができるようになりました。
取れかけの埋没法からの切開法
10年前に他院(大手美容外科)にて埋没および脂肪除去を行った方です。数か月前に、右は完全に、左は中途半端に外れてしまっていて当院へ相談となりました。
当初、当院からの提案としては、右の埋没法を行った後に、様子を見て行き両側の切開を行うもよいとしたが、 最終的に切開法の適応となりました。
ライン幅は、広めの9mmを希望されました。特に年齢的には腫れが遷延(ダウンタイムが長引いてしまう)する可能性が高いためお勧めはしませんでしたが、結果的に4mm切除としました。Before

After

- 症例
- 他院二重埋没法から切開法
- 治療内容
- 希望のラインで皮膚を切開し、埋没糸の抜糸、必要に応じて余分な皮膚や脂肪を切除、組織を縫合し重瞼線を作成します。
- リスク
- 内出血・腫れ・まれに二重が浅くなることがあります。
- 料金
- 550,000円
ドクターズコメント
取れかけの埋没法
取れかけた埋没法および脂肪除去後の方に対して、瘢痕部の除去を含めて切除幅を少し広めて希望のラインへ修正した症例です。
Delbouef(デルブーフ)錯視の影響が気になる二重幅ですが、もうしばら経過を見ることで、落ち着きを見せると思います。日本形成外科学会専門医
医療法人社団 聡明会 理事長田牧 聡志
取れかけの埋没法から二重切開の経過

術前の診察 開瞼
診察にて、左右共に平行になりやすい上眼瞼であり、現在、浅い重瞼線が7mmであるが、本人の希望では9mm程度でした。

術前の診察 閉瞼
閉瞼時ですが、初回手術は埋没法でしたが、眼窩脂肪も除去したことから切開の瘢痕も気になる状態でした。

デザイン
初回手術の瘢痕切除も含めてのデザインとなりました。希望が9mmと広めでしたので、頭側に瞼縁から11mm、尾側(瞼側)に瞼縁から8mmとして、切除幅は4mmとしました。
※一般的にも二重幅が広い場合には注意が必要です。手術の影響する組織量が多くなるため腫れは比較的に長引いてしまうため、ダウンタイムは長くなる傾向があります。
術後1週間 開瞼
内出血は少なめですが、全体に広がる感じもなく、ご本人は気になっていない様子でした。

術後1週間 閉瞼
閉瞼すると左側が出血が多かったようでして、結果的に左が腫れが残ることは予想できました。

術後1ヶ月
内出血の影響はほぼなくなりました。左の腫れが若干強い印象です。

術後1ヶ月 閉瞼
術後1ケ月では、切開の瘢痕が最も目立つ時期となります。このことは予め術前に説明していますが、改めて当日にも説明するようにしています。

術後2ヶ月
徐々に落ち着いてきていますが、まだ腫れは左が優位になっています。

術後2ヶ月 閉瞼
閉瞼すると左右差はほぼ無いことがわかります。1ケ月と比較すると創の幅が狭くなっている印象です。

術後3ヶ月
徐々に二重幅が落ち着きを見せています。完全に腫れが引くにはもう数か月必要かもしれません。

術後3ヶ月 閉瞼
創部は3ケ月もするとかなり薄くなるようです。しかしながら、創部は術後半年は待ってもらうようにしています。

術後6ヶ月
開瞼時の正面視では半年経過は変化がありません。

術後6ヶ月 閉瞼
閉瞼時では、手術3ヶ月後と比較すると明らかに良くなっています。

術後12ヶ月 開瞼
術後12ヵ月です。

術後12ヶ月 閉瞼
術後6ヶ月と比較することは少ないのですが、やはり時間が経てば瘢痕は良くなる方もいらっしゃいます。

術前と術後
Delbouef(デルブーフ)錯視の影響が気になりましたが、この程度の二重幅であれば何とか目の大きい印象を与えていると思います。
奥二重からの切開法
年齢:30代
奥二重であり、開瞼(目の開き具合に)左右差のある方の症例です。幅が若干広めなラインを希望されました。
術前術後の比較では、目の大きさが倍になったような印象を与えます。Before

After

- 症例
- 奥二重のまぶたからはじめての切開法の二重整形
- 治療内容
- 希望の重瞼線(二重ライン)を中心に幅を取り皮膚を切除し、必要に応じて余分な皮膚や脂肪を切除、組織を縫合し重瞼線を作成します。
- リスク
- 内出血・腫れ・まれに二重が浅くなることがあります。
- 料金
- 440,000
ドクターズコメント
奥二重への扱い
奥二重は、二重瞼であっても皮膚がかぶり、見た目上は一重の様に見える瞼を指します。動きの中での目の大きさは評価されますから、一重瞼よりは大きな印象がありますが、やはり損をしてしまうこともあるようです。そこで、本症例は大きな目を獲得するために、切開法を行いました。
日本形成外科学会専門医
医療法人社団 聡明会 理事長田牧 聡志
奥二重から二重切開の経過

術前の診察 開瞼
瞼裂(見た目上)の目の開き具合には左右差がある方です。ただ、術前の評価としては眉も上がっていないため、眼瞼下垂との診断はつけていません。

術前の診察 閉瞼
手術の経験がない綺麗な瞼です。

デザイン
広めの二重を希望されましたが、切除幅は2mmとして、頭側(上の)ラインは9mm。尾側(睫毛側・下の)ラインは7mmとしています。
目標は8mmの二重となります。
術後1週間 開瞼
術後1週間では当院ではこの程度のダウンタイムです。内出血は少なく、腫れも多くないと思います。

術後1週間 閉瞼
閉瞼すると、内出血はわかりやすくなります。

術後1ヶ月
かなり腫れています。この時点では左右差があります。左の開瞼能力が若干弱いと思われます。

術後1ヶ月 閉瞼
術後1か月が最も傷が目立ちます。これはほかの症例でも同様です。

術後3か月 閉瞼
かなり改善してきています。赤みは解消され、皮膚の色はほぼ戻っています。

術後3ヶ月 閉瞼
非常にきれいです。切開線はほとんど目立たないと思われます。

術後6ヶ月 閉瞼
よく見ればわかるのですが、切開線はほとんど気が付かれないと思います。

術後12ヶ月 開瞼
年齢的、および、デザイン(若干幅が広い)ことからダウンタイムには時間が必要となりました。かなり綺麗に仕上がっております。左の開瞼は少し弱いと思われますが気にならない状態です。今回は眼瞼下垂の手術は含まれておりません。
術後6カ月の後、眉の上りが強いことから前額のボトックスを行いました。眉の上りがなくなり、二重幅も落ち着きました。
術後12ヶ月 閉瞼
お化粧がのってしまいラインの様に見えますが、6か月の閉瞼を見ていて抱ければ、切開線は付かれないと思います。

術後真横から撮影
切開線を横から見たとことですが、ほぼ平坦となり、術後を感じさせないと思われます。

術前と術後
幅が若干広めな二重整形となりました。
目の開け方でも若干変わってきますが、若干広いという印象でしょうか。
しかしながら、二重の印象が強く大きくなったと認識されます。
他院眼瞼下垂手術の修正としての二重切開
年齢:30代
他院(眼科医院)で眼瞼下垂との診断で手術が行われましたが、左右で重瞼(二重)線が異なり、左は瞼縁(睫毛:まつ毛)にとても近く設定され不自然であったため、修正を希望され受診されました。眼瞼下垂症に対する適応や術式等も説明がなかったようです。
希望の平行型の二重幅はかなり広めであり、結果的にはダウンタイムやや長めとなりました。しかしながら、目の大きさが倍くらいになった印象です。Before

After

- 症例
- 他院の眼瞼下垂症手術(術式不明)から切開法での平行型二重整形
- 治療内容
- 左右ともに前回の手術瘢痕は含めず、希望の二重線を設定し余剰皮膚切除を行い重瞼線を作成します。
- リスク
- 内出血・腫れ・まれに二重が浅くなることがあります。
- 料金
- 649,000円
ドクターズコメント
他院眼瞼下垂手術の修正としての二重切開
診療科によっては、何を目的にするかにより考え方が違うため、術後の結果も変わってきてしまいます。
形成外科専門医施設であれば、整容的な面もしっかりと確保した適切な手術を行えると思います。
本症例は、他科にて行われた下垂症例に対しての重剣術による修正を行いました。日本形成外科学会専門医
医療法人社団 聡明会 理事長田牧 聡志
他院眼瞼下垂手術の修正としての二重切開の経過

術前の診察 開瞼
左右差があります。右は重瞼(二重)がしっかりありますが見た目の重瞼幅が狭く、左は重瞼がほとんどない状態です。

術前の診察 閉瞼
眼瞼下垂症手術の瘢痕としての重瞼線は、右は6mm幅に、左は3mm幅の瞼縁近くに認めます。

デザイン 閉瞼
目標の幅を9mmと広く設定しています。皮膚の切除は3mm切除としました。

術後1週間 開瞼
幅が広いことで術後の腫れは強く出てしまっています。ただ、しっかりと平行型となっています。

術後1週間 閉瞼
内出血は比較的に多く出てしまいました。

術後1ヶ月
若干左右差があるでしょうか。しかしながら、綺麗な平行型の二重となっています。見た目の重瞼幅はまだ広い印象があります。

術後1ヶ月 閉瞼
術後1ヶ月は傷は汚く縮んでしまっています。しかし、左右差はあまり認めません。

術後2ヶ月
左右差がなくなりつつあります。非常に良好です。

術後2ヶ月 閉瞼
術後2ケ月ではまだ瘢痕は残っています。術後6ヶ月まで待って欲しいです。

術後3ヶ月
腫れも完全に落ち着き、二重幅も確定しています。

術後3ヶ月 閉瞼
瘢痕はかなり綺麗になっています。

術後11ヶ月
術後3ヶ月と変わりがないですね。左右差もほぼ無い状態です。見た目の二重幅は希望の様に幅広になっています。

術後11ヶ月 閉瞼
切開線がどこにあったか解らない位に綺麗に治癒しています。よく見ていただくと切開線がわかりますが左右差は殆どありません。

術前と術後
術前術後で印象が全く違っています。綺麗な平行二重になっています。
浅い二重から末広型の切開法
年齢:20代
20代後半女性、二重整形切開法を検討し、また自然な二重をご希望で来院されました。
Before

After

- 症例
- 浅い二重から末広型の切開法
- 治療内容
- 浅い二重の方ですが、皮膚切開および切除を行った後に、二重の形態を持続させるために上眼瞼腱膜(上眼瞼挙筋から力を伝えることができる膜状組織)を開放し眼輪筋に固定する「腱膜翻転眼輪筋固定」を行うことで、まぶたを開ける際に二重線を引き上がるように、作り変えます。
- リスク
- 最も多くの場合は内出血・腫れ(大きく1-2週間腫れます)でしょう。まれに二重が浅くなることがあります。
- 料金
- 517,000円
ドクターズコメント
二重切開法
二重幅を少し広めに設定した分、腫れている状態が続いた方です。
切開線は半年から1年で二重ラインになじんでほとんどわからなくなります。日本形成外科学会専門医
医療法人社団 聡明会 理事長田牧 聡志
浅い二重から末広型の切開法の経過

術前
薄っすらと認める二重線がありますが、この程度の薄い二重線では印象は二重ではなく一重となります。目が小さい印象を与えます。左の方が若干まぶたの開きが弱いようですが、修正対象ではありません。

術前 閉瞼
綺麗なまぶたです。今まで特に何もされていないことがわかります。

デザイン
余裕がある皮膚を切除するのは当院の特徴でしょう。希望があれば皮膚切除は行いませんが、30歳を過ぎた辺りから必ず皮膚は弛みますから、切除して置いた方が良い結果が得られます。

術直後
術後直ぐの写真です。ラインの乱れが認められますが、大した問題ではありません。

術直後 閉瞼
目が閉じていないように見えますが、腫れがあるためにそのように見えます。異常はありません。

術後1週間
腫れていて、二重幅が非常に広く感じますが、良好な術後経過です。

術後1週間 閉瞼
抜糸を行いました。綺麗な二重線が出来上がっています。

術後2週間
術後2週間でもまだまだ腫れていますが、なんとなく落ち着きを見せています。

術後2週間 閉瞼
傷跡は一旦綺麗になります。

術後1ヵ月
まだ少し腫れが残っていますね。

術後1ヵ月 閉瞼
術後1カ月が皮膚の傷が最も汚く赤く目立ちます。覚えておいてください。正常な経過です。

術後2ヵ月
徐々に腫れが収まってきますが、まだ腫れている印象です。

術後2ヵ月 閉瞼
二重線である傷跡は綺麗になって来ています。

術後3ヵ月
腫れはほとんどなくなっています。

術後3ヵ月 閉瞼
傷跡が目立たなくなって来ていますが、まだまだ綺麗になります。

術後6ヵ月
これで完成の様に腫れが引いているようですが、12か月と比較すると、まだまだ腫れが残っている方でした。この様に腫れが長引く人もいらっしゃいます。

術後6ヵ月 閉瞼
傷はかなり成熟して、わかりにくくなっています。

術後12ヵ月
完成ですね。

術後12ヵ月 閉瞼
切開線は薄っすらと残っていて、完全には消えていませんがかなり良い状態です。

術後12ヵ月 横
横から見た切開線を確認しましたが、きれいに湾曲を描いていてきれいに仕上がっています。
埋没法からの切開法(過去に一度他院にて実施)
年齢:30代
瞼が下がり気味であったため眉下切開を希望して他院(二つの医療機関)に行きましたが、別の医院では二重をしたほうが良いと言われたようです。 きれいな結果を出している当院へと受診して頂きました。
過去一度埋没法を他院にて受けていて、15年前に抜糸をされている症例となります。
※術後化粧をされている写真しかないため、本症例は形態(まぶたの形)のみの症例となります。Before

After

- 症例
- 二重切開法(埋没一回後の修正)
- 治療内容
- 希望のラインをまたいだデザインで皮膚を切開し、必要に応じて余分な皮膚や脂肪を切除、組織を縫合し重瞼線を作成します。
- リスク
- 内出血・腫れ・左右差・まれに二重が浅くなることがあります。
- 料金
- 550,000円
ドクターズコメント
二重切開法
まぶたが重く感じると、前頭筋を使って眉を上げて目を開かせようとします。そうすることで目(医学的には瞼裂と言いますが)は開きますが、時にまぶた自体が前頭筋により引き延ばされて窪んでしまことがあります。切開法の重瞼術でまぶた自体を軽くすることで、前頭筋を使用しなくなり窪みが解消することもしばしばです。
日本形成外科学会専門医
医療法人社団 聡明会 理事長田牧 聡志
埋没法からの切開法(過去に一度他院にて実施)の経過

術前
初診時の診察では、一重瞼であり、その瞼が重いため眉を引き上げる癖があるため、上眼瞼の陥凹(sunken-eye)も認めました。
外側が下がり三角目の印象があります。
術前 閉瞼
埋没を一回経験していますが、ほぼ瘢痕は無く綺麗な瞼です。

デザイン
年齢は30代であることから、また皮膚の弛みも形態に関連することからしっかりと皮膚(3㎜切除)を切除しました。重瞼線は切開線の中央に位置するように設定しています。
・・・通例デザインの場合は閉瞼で良いですよ。

術直後
術直後であり、既に腫れてしまっています。

術直後 閉瞼
この時点での出血はありませんでした。

術後1週間
術中および術直後にも出血が無かったのですが、残念ながら右の出血を認めています。
※出血斑が形成された場合は出血斑が消えるのに2週間程度要します。
術後1週間 閉瞼
この程度であれば、出血斑が邪魔をしてデザインが変わってしまう可能性はありません。

術後2週間
術後2週間では殆ど出血斑が消えていることがわかります。

術後2週間 閉瞼
右は左よりも腫れているようですが、この程度であれば問題ありません。

術後1ヶ月
かなりすっきりして来ました。既に上まぶたの陥凹が少なくなっていることがわかります。

術後1ヶ月 閉瞼
術後の血腫の影響か、右は左と比較して、若干腫れてラインも乱れているようですね。

術後2ヶ月
腫れがほぼ引いてきています。

術後2ヶ月 閉瞼
ラインの不整はほぼ改善しているようです。左右差はほぼなくなっています。

術後3ヶ月
ほぼ完成ですね。

術後3ヶ月 閉瞼
お化粧している状態であり、切開線の状態は確認できません。
※本症例は形態(まぶたの形)のみの症例となります。
術後6ヶ月
完成です。綺麗に仕上がっているようです。

術後6ヶ月 閉瞼
アイシャドーにより切開線の瘢痕の評価はできませんが、盛り上がった瘢痕は強くなく綺麗に仕上がっているようです。
埋没法からの切開法
年齢:20代
今まで埋没法の二重整形をされていましたが、外れてしまい切開法を希望された方です。修正術となりました。
Before

After

- 症例
- 埋没法からの二重切開法
- 治療内容
- 希望のラインで皮膚を切開し、必要に応じて余分な皮膚や脂肪を切除、組織を縫合し重瞼線を作成します。
- リスク
- 内出血・腫れ・まれに二重が浅くなることがあります。
- 費用
- 418,000円
ドクターズコメント
埋没法からの切開法
埋没法は腫れにくく、料金も安いため一般的に人気がありますが、ティーズクリニックでは一時的な仮止めという位置付けです。なぜなら、長い方で5年、短い場合は1年程度で糸がゆるみ次第に元に戻るからです。
埋没法を何回か繰り返している方は切開法をおすすめします。日本形成外科学会専門医
医療法人社団 聡明会 理事長田牧 聡志
埋没法からの二重切開の経過

術前
鼻の横幅(写真では見えませんが)より、眼の内側間の距離の方が短い。
目頭の角度(蒙古襞と言われていますが)に左右差が少ない。
眉の位置はどうでしょう。若干、右が上がっているようです。ポイントは結果として、共に平行型に成りやすい方である。となります。
そのようなことを説明しながら、希望のデザインを決めていきます。

デザイン
ポイントは結果として、平行型に成りやすい方である。となります。
そのようなことを説明しながら、希望のデザインを決めていきます。

術直後
既に腫れだしていますね。内出血は少ないようです。当院では術中に内出血の予防にかなりの時間を割いていますので、少ない印象です。

術後1週間
抜糸前です

術後1週間 閉瞼
抜糸前

術後1ヶ月
少し末広型のようですが、次第に平行型に近づいていきます。

術後1ヶ月 閉瞼
切開線がきれいな曲線になっています

術後3ヶ月
術後1カ月に比べて少し見た目の重瞼幅が狭くなって落ち着いてきていますね。
もう少し落ち着きます。
術後3ヶ月 閉瞼
閉瞼時はまだまだ傷跡が残っているようです。


































































































































































































ドクターズコメント
二重切開法
切開線(創部)は更に半年から1年で二重ラインになじんでほとんどわからなくなります。
切開法で奥二重から綺麗な平行型二重と変わりました。眉毛と二重と目が一つのユニットとして一体化することで、目が大きくなる印象を与えています。
二重整形術は、印象を大きく変えることができる方法だと思います。
日本形成外科学会専門医
医療法人社団 聡明会 理事長
田牧 聡志